ДлинноНожка• 25 октября 2024
Хто розбирається в рентгені?
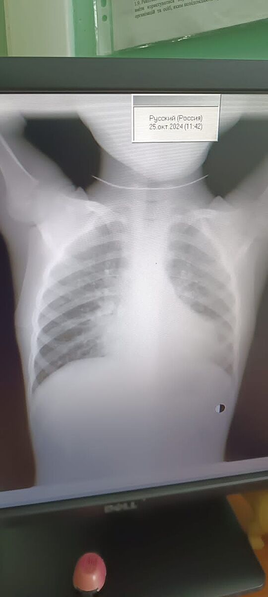
Дитині сьогодні зробили рентген,але розшифрують в понеділок. Можливо тут є лікарі, які зможуть сказати чи є запалення? Дякую.
Астоновитесь!• 25 октября 2024
Сложно сказать
Потому что даже два ваших фото сильно отличаются
На реальном экране может все выглядеть иначе
Потому что даже два ваших фото сильно отличаются
На реальном экране может все выглядеть иначе
автор
ДлинноНожка
• 25 октября 2024
Ответ дляАмелі на мілені
А шо за русский ?
Звідки я знаю, що то за надпис у них на приборі. Робили в Чернігові.
Точная копия плова• 25 октября 2024
Сложно сказать, снимок экрана не качественный. Вроде нет, смущает только один участок, но там размыто
автор
ДлинноНожка
• 25 октября 2024
Ответ дляТочная копия плова
Сложно сказать, снимок экрана не качественный. Вроде нет, смущает только один участок, но там размыто
Просто педіатр на основі цих фото хотіла, щоб лягали до лікарні і назначила антибіотик.
Точная копия плова• 25 октября 2024
Ответ дляДлинноНожка
Просто педіатр на основі цих фото хотіла, щоб лягали до лікарні і назначила антибіотик.
Педіатр, на відміну від нас, бачить клініку і має дані огляду.
А не лише сумнівний знімок
А не лише сумнівний знімок
автор
ДлинноНожка
• 25 октября 2024
Ответ дляТочная копия плова
Педіатр, на відміну від нас, бачить клініку і має дані огляду.
А не лише сумнівний знімок
А не лише сумнівний знімок
В неї все добре було, хоч дитина і кашляє вже 1,5 місяці. Це я попросила направлення на рентген.
Точная копия плова• 25 октября 2024
Ще додам. Можливо, педіатр саме в тій ділянці, що мені не подобається, чула ослаблене дихання, і тоді так, для неї це не просто неякісний знімок, вона побачила підтвердження
Точная копия плова• 25 октября 2024
Ответ дляДлинноНожка
В неї все добре було, хоч дитина і кашляє вже 1,5 місяці. Це я попросила направлення на рентген.
Якщо все добре, то чекайте розшифровки знімку
Багиня• 25 октября 2024
Ответ дляДлинноНожка
Звідки я знаю, що то за надпис у них на приборі. Робили в Чернігові.
Надо было сказать что с оккупации)
Мамина корзиночка• 25 октября 2024
Ответ дляМавка
Кацапи у нас сидять?
Очі вище підняти треба і побачите українську.
Мнения, изложенные в теме, передают взгляды авторов и не отражают позицию Kidstaff
Тема закрыта
Похожие темы:
Назад Комментарии к ответу


