Пиши-пропало• 10 декабря 2024
Если дырка в зубе, то можно зуб
запломбировать,не удаляя нервы?
автор
Пиши-пропало
• 10 декабря 2024
Ответ дляАлина-1240
Если пульпапная камера не сгнила,то да
А как это проверить?
автор
Пиши-пропало
• 10 декабря 2024
Ответ длякак тебе такое илон маск
Можно мне так два зуба пломбы ставили
А где вы лечили зубы,можно координаты
1
Безпринципова• 10 декабря 2024
конечно. На ренгтене смотрят размер дырки. Если дырка не дошла до нерва, то никто его не трогает. У меня 6 пломб и все нервы на месте
1
автор
Пиши-пропало
• 10 декабря 2024
Ответ дляБезпринципова
конечно. На ренгтене смотрят размер дырки. Если дырка не дошла до нерва, то никто его не трогает. У меня 6 пломб и все нервы на месте
А мне врач сказала без рентгена,что будет удалять нерв.
Голова колгоспу• 10 декабря 2024
Ответ дляПиши-пропало
А мне врач сказала без рентгена,что будет удалять нерв.
И ? Начнёт сверлить и будет все ясно и без рентгена. Вы это и сами почуствуюте, без анестезии не усидите в кресле.
Голова колгоспу• 10 декабря 2024
Ответ дляБезпринципова
конечно. На ренгтене смотрят размер дырки. Если дырка не дошла до нерва, то никто его не трогает. У меня 6 пломб и все нервы на месте
Рентген не обязателен.
Безпринципова• 10 декабря 2024
Ответ дляГолова колгоспу
И ? Начнёт сверлить и будет все ясно и без рентгена. Вы это и сами почуствуюте, без анестезии не усидите в кресле.
а кому-то сейчас сверлят без анастезии??
автор
Пиши-пропало
• 10 декабря 2024
Ответ дляГолова колгоспу
Рентген не обязателен.
А как она увидит?
Голова колгоспу• 10 декабря 2024
Ответ дляБезпринципова
а кому-то сейчас сверлят без анастезии??
Неправильно это сверлить с анестезией без разбора.
Голова колгоспу• 10 декабря 2024
Ответ дляПиши-пропало
А как она увидит?
Во первых, Вы без анестезии не сможете усидеть в кресле, если затронута пульпа.
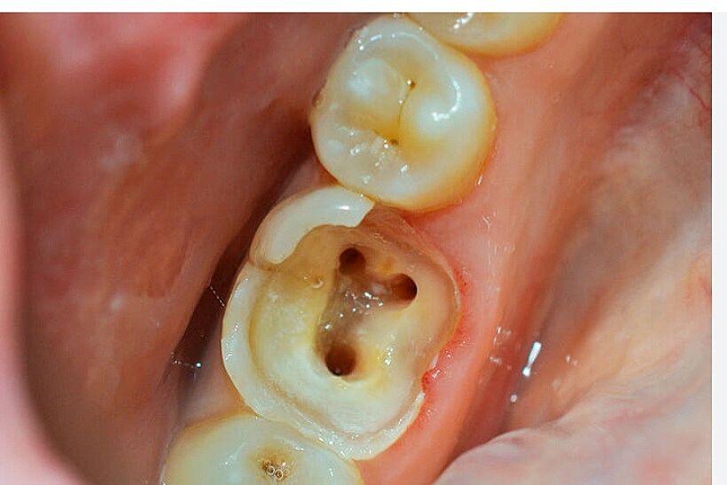
Это до корневых каналов.
На этом фото 3 корня, три канала.
Это до корневых каналов.
На этом фото 3 корня, три канала.
автор
Пиши-пропало
• 10 декабря 2024
Ответ дляГолова колгоспу
Во первых, Вы без анестезии не сможете усидеть в кресле, если затронута пульпа.
Это до корневых каналов.
На этом фото 3 корня, три канала.
Это до корневых каналов.
На этом фото 3 корня, три канала.
У меня зуб клык,не жевателтный
Голова колгоспу• 10 декабря 2024
Ответ дляПиши-пропало
У меня зуб клык,не жевателтный
Какая разница, каждый зуб имеет корни и нервы в корнях.
автор
Пиши-пропало
• 10 декабря 2024
Ответ дляГолова колгоспу
Какая разница, каждый зуб имеет корни и нервы в корнях.
Так она мне его рвсковыряет,а сейчас там маленькая дырочкв
Голова колгоспу• 10 декабря 2024
Ответ дляПиши-пропало
Так она мне его рвсковыряет,а сейчас там маленькая дырочкв
Да откуда Вы знаете какая там дырочка ??? При маленькой наружной, внутри может быть огромная полость.
Ищите стоматолога которому доверяете.
Не задавайте глупых вопросов.
Ищите стоматолога которому доверяете.
Не задавайте глупых вопросов.
1
автор
Пиши-пропало
• 10 декабря 2024
Ответ дляГолова колгоспу
Да откуда Вы знаете какая там дырочка ??? При маленькой наружной, внутри может быть огромная полость.
Ищите стоматолога которому доверяете.
Не задавайте глупых вопросов.
Ищите стоматолога которому доверяете.
Не задавайте глупых вопросов.
Понятно.Просто я переживаю за зуб.
Мнения, изложенные в теме, передают взгляды авторов и не отражают позицию Kidstaff
Тема закрыта
Похожие темы:
Назад Комментарии к ответу
