На пів ставки• 10 апреля в 20:52
Чи рвати молочні зуби
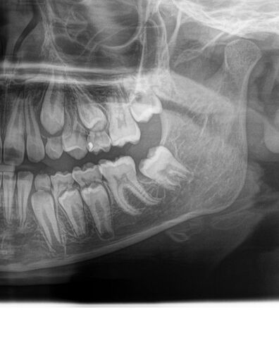
Такий знімок. Видно добре постійні, а молочні не хитаються.
Звичайно, я слухатиму лікаря! Але хочеться і досвід чужий послухати. 🤗 Чи це на знімку вважається, що зуб дуже близько і може вирости збоку?
Звичайно, я слухатиму лікаря! Але хочеться і досвід чужий послухати. 🤗 Чи це на знімку вважається, що зуб дуже близько і може вирости збоку?
Свезло так свезло• 10 апреля в 20:55
Почекати поки хитатися будуть. Для чого її рвати завчасно?
1
8
ПампушОК• 10 апреля в 20:57
Якщо за календарем вже давно мали б випасти, а не випали - можна вирвати. Я колись донці видалила зуб замість того щоб лікувати (6 років було, так лікар порекомендував), і потім новий 9 місяців не ріс.
На знімку звичайно будуть постійні зуби, вони ж закладені ще в утробі
На знімку звичайно будуть постійні зуби, вони ж закладені ще в утробі
Тролю як можу• 10 апреля в 20:58
Ответ дляПампушОК
Якщо за календарем вже давно мали б випасти, а не випали - можна вирвати. Я колись донці видалила зуб замість того щоб лікувати (6 років було, так лікар порекомендував), і потім новий 9 місяців не ріс.
На знімку звичайно будуть постійні зуби, вони ж закладені ще в утробі
На знімку звичайно будуть постійні зуби, вони ж закладені ще в утробі
Мне в 5 лет вырвали 5 ку. И выросла она только в мои 13 какой-то калечный маленький по сравнению с другими (((
парИла я парИла• 10 апреля в 20:59
Ответ дляСвезло так свезло
Почекати поки хитатися будуть. Для чого її рвати завчасно?
У моего некоторые не шатались. Просто рядом вылезал постоянный. Клык вообще лёг и начал расти вбок.
автор
На пів ставки
• 10 апреля в 21:01
Ответ дляПампушОК
Якщо за календарем вже давно мали б випасти, а не випали - можна вирвати. Я колись донці видалила зуб замість того щоб лікувати (6 років було, так лікар порекомендував), і потім новий 9 місяців не ріс.
На знімку звичайно будуть постійні зуби, вони ж закладені ще в утробі
На знімку звичайно будуть постійні зуби, вони ж закладені ще в утробі
Але десь нижче мали б бути спочатку, хіба ні? Бо виглядає ніби підпирають. Чи це може так давно вже, я ж не робила знімки дитині раніше.
Свезло так свезло• 10 апреля в 21:01
Ответ дляпарИла я парИла
У моего некоторые не шатались. Просто рядом вылезал постоянный. Клык вообще лёг и начал расти вбок.
У мого теж були такі зуби. Але у автора на знімку видно що нічого в бік не росте, корені молочних зубів розчинилися , постійні їх витісняють анатомічно правильно.
4
автор
На пів ставки
• 10 апреля в 21:02
Ответ дляпарИла я парИла
У моего некоторые не шатались. Просто рядом вылезал постоянный. Клык вообще лёг и начал расти вбок.
Рвали молочні і зуби встали самі на місце, чи довелось ставити брекети?
парИла я парИла• 10 апреля в 21:03
Ответ дляНа пів ставки
Рвали молочні і зуби встали самі на місце, чи довелось ставити брекети?
Брекеты
1
автор
На пів ставки
• 10 апреля в 21:04
Я просто сама носила брекети і дуже не хочу цього для дітей. Але вирвати всі беруть дуже сумніви, бо як довго не буде котрийсь рости, місце на нього займуть інші.
1
пьЯНА• 10 апреля в 21:04
Автор, мы вчера удалили последнюю молочную пятерку. Но перед этим мне два врача сказали удалять, а два - подождать, вчера пошла к ортодонту с опытом, и он сказал удалять, пошли сразу и удалили.
И вы врачей послушайте, и не одного желательно.
Но это имхо
И вы врачей послушайте, и не одного желательно.
Но это имхо
1
ГоловнаЯ• 10 апреля в 21:04
В дитини виросли перші нижні ніби у внутрішньому ряду, не рвали. Випали самі, зуби стали на місце.
1
автор
На пів ставки
• 10 апреля в 21:06
Ответ дляСвезло так свезло
У мого теж були такі зуби. Але у автора на знімку видно що нічого в бік не росте, корені молочних зубів розчинилися , постійні їх витісняють анатомічно правильно.
Ви бачите, що розчинились, так? Бо я не дуже розумію як вони б мали виглядати. Значить рвати буде не дуже боляче, надіюсь.
автор
На пів ставки
• 10 апреля в 21:08
Ответ дляпьЯНА
Автор, мы вчера удалили последнюю молочную пятерку. Но перед этим мне два врача сказали удалять, а два - подождать, вчера пошла к ортодонту с опытом, и он сказал удалять, пошли сразу и удалили.
И вы врачей послушайте, и не одного желательно.
Но это имхо
И вы врачей послушайте, и не одного желательно.
Но это имхо
Скільки років дитині? І чи був корінь великий?
Так от ходити слухати різні думки, а рішення всеодно я приймаю.
Так от ходити слухати різні думки, а рішення всеодно я приймаю.
1
Забагаловка• 10 апреля в 21:10
Нижние хорошо идут. А вот в верхнем ряду, средний зуб сам не выпадет, ничто его не выпихивает. Или он уже постоянный?
Свезло так свезло• 10 апреля в 21:11
Ответ дляНа пів ставки
Ви бачите, що розчинились, так? Бо я не дуже розумію як вони б мали виглядати. Значить рвати буде не дуже боляче, надіюсь.
Видно що між зубами темний простір пустий .
автор
На пів ставки
• 10 апреля в 21:11
Ответ дляЗабагаловка
Нижние хорошо идут. А вот в верхнем ряду, средний зуб сам не выпадет, ничто его не выпихивает. Или он уже постоянный?
Він випав вже. Зверху лишився 3 і 5. Знизу 3,4,5 молочні
автор
На пів ставки
• 10 апреля в 21:13
Ответ дляСвезло так свезло
Видно що між зубами темний простір пустий .
Зрозуміло. Знизу такого нема. Там значит важче буде
пьЯНА• 10 апреля в 21:16
Ответ дляНа пів ставки
Скільки років дитині? І чи був корінь великий?
Так от ходити слухати різні думки, а рішення всеодно я приймаю.
Так от ходити слухати різні думки, а рішення всеодно я приймаю.
11
1
Свезло так свезло• 10 апреля в 21:35
Ответ дляНа пів ставки
Зрозуміло. Знизу такого нема. Там значит важче буде
А скільки років дитині?
автор
На пів ставки
• 10 апреля в 21:53
Ответ дляСвезло так свезло
А скільки років дитині?
11,5
Але прикус неправильний формується через ротове дихання. Буде трейнер (такі капи на ніч для того, щоб навчився дихати носом), але спершу треба видалити все. Але я, мабуть 5-ки лишу і прийду так просити той трейнер.
Бо в дитини останньої в садку, в класі випадали зуби. То та 5 ще 2 роки точно не виросте. Ще доведеться тримачі ставити, щоб місце тримали. Це вже я начиталась. Ортодонти ж одразу все не кажуть, вже в процесі, коли виходу нема)
Але прикус неправильний формується через ротове дихання. Буде трейнер (такі капи на ніч для того, щоб навчився дихати носом), але спершу треба видалити все. Але я, мабуть 5-ки лишу і прийду так просити той трейнер.
Бо в дитини останньої в садку, в класі випадали зуби. То та 5 ще 2 роки точно не виросте. Ще доведеться тримачі ставити, щоб місце тримали. Це вже я начиталась. Ортодонти ж одразу все не кажуть, вже в процесі, коли виходу нема)
Свезло так свезло• 10 апреля в 21:58
Ответ дляНа пів ставки
11,5
Але прикус неправильний формується через ротове дихання. Буде трейнер (такі капи на ніч для того, щоб навчився дихати носом), але спершу треба видалити все. Але я, мабуть 5-ки лишу і прийду так просити той трейнер.
Бо в дитини останньої в садку, в класі випадали зуби. То та 5 ще 2 роки точно не виросте. Ще доведеться тримачі ставити, щоб місце тримали. Це вже я начиталась. Ортодонти ж одразу все не кажуть, вже в процесі, коли виходу нема)
Але прикус неправильний формується через ротове дихання. Буде трейнер (такі капи на ніч для того, щоб навчився дихати носом), але спершу треба видалити все. Але я, мабуть 5-ки лишу і прийду так просити той трейнер.
Бо в дитини останньої в садку, в класі випадали зуби. То та 5 ще 2 роки точно не виросте. Ще доведеться тримачі ставити, щоб місце тримали. Це вже я начиталась. Ортодонти ж одразу все не кажуть, вже в процесі, коли виходу нема)
Тоді виривати звісно
Я думала років 5-6
Я думала років 5-6
автор
На пів ставки
• 10 апреля в 22:02
Ответ дляСвезло так свезло
Тоді виривати звісно
Я думала років 5-6
Я думала років 5-6
Ні) в 5-6 ще б 4-ки верхні самі не змінились.
Всеодно для пятірок ще рано. Поки прийняла таке рішення. Завтра зранку записані на видалення, але яких саме в процесі вирішимо. Ще стоматолога запитаю, але поки, мабуть, так. А 3 і 4 не шкода, бо вже справді час.
Всеодно для пятірок ще рано. Поки прийняла таке рішення. Завтра зранку записані на видалення, але яких саме в процесі вирішимо. Ще стоматолога запитаю, але поки, мабуть, так. А 3 і 4 не шкода, бо вже справді час.
Ненька наша• 10 апреля в 22:11
Слушайте врача, но думаю что верхние молочные лучше вырвать.
У меня была похожая ситуация и из-за этого у меня выросли кривые зубы. Кстати сейчас многие ждут взросления чтобы поставить брекеты - я считаю это неправильно. Меня привели к врачу ровнять зубы когда мне было 10 и то врач сказал что это поздновато. Я полтора или два года ходила с пластинкой, зубы почти выровнялись, но надо было ещё несколько месяцев поносить, я жалею что бросила.
У меня была похожая ситуация и из-за этого у меня выросли кривые зубы. Кстати сейчас многие ждут взросления чтобы поставить брекеты - я считаю это неправильно. Меня привели к врачу ровнять зубы когда мне было 10 и то врач сказал что это поздновато. Я полтора или два года ходила с пластинкой, зубы почти выровнялись, но надо было ещё несколько месяцев поносить, я жалею что бросила.
Швидка Настя• 10 апреля в 22:13
Ответ дляНа пів ставки
Ні) в 5-6 ще б 4-ки верхні самі не змінились.
Всеодно для пятірок ще рано. Поки прийняла таке рішення. Завтра зранку записані на видалення, але яких саме в процесі вирішимо. Ще стоматолога запитаю, але поки, мабуть, так. А 3 і 4 не шкода, бо вже справді час.
Всеодно для пятірок ще рано. Поки прийняла таке рішення. Завтра зранку записані на видалення, але яких саме в процесі вирішимо. Ще стоматолога запитаю, але поки, мабуть, так. А 3 і 4 не шкода, бо вже справді час.
Хто вас направив видаляти і навіщо? Клик можна, інші я б не видаляла.
автор
На пів ставки
• 10 апреля в 22:41
Ответ дляНенька наша
Слушайте врача, но думаю что верхние молочные лучше вырвать.
У меня была похожая ситуация и из-за этого у меня выросли кривые зубы. Кстати сейчас многие ждут взросления чтобы поставить брекеты - я считаю это неправильно. Меня привели к врачу ровнять зубы когда мне было 10 и то врач сказал что это поздновато. Я полтора или два года ходила с пластинкой, зубы почти выровнялись, но надо было ещё несколько месяцев поносить, я жалею что бросила.
У меня была похожая ситуация и из-за этого у меня выросли кривые зубы. Кстати сейчас многие ждут взросления чтобы поставить брекеты - я считаю это неправильно. Меня привели к врачу ровнять зубы когда мне было 10 и то врач сказал что это поздновато. Я полтора или два года ходила с пластинкой, зубы почти выровнялись, но надо было ещё несколько месяцев поносить, я жалею что бросила.
Я сказала, що якщо є альтернатива - хай пропонує, брекети крайня міра.
Мнения, изложенные в теме, передают взгляды авторов и не отражают позицию Kidstaff
Тема закрыта
Похожие темы:
Назад Комментарии к ответу


