sovetchitsa
Советчица
Вход Регистрация
Спросить Советую Промо публикация Поиск товара
Настройки
Язык меню: ru ua Шрифт: a a a
Служба поддержки
Вход Регистрация
Правила | Ограничения | Cookies
©2008—2025 Советчица Kidstaff
Советчица - Здоровье и Красота - Болезни и лекарства
anonim_136
Глубоководная селедка• 04 января 2022

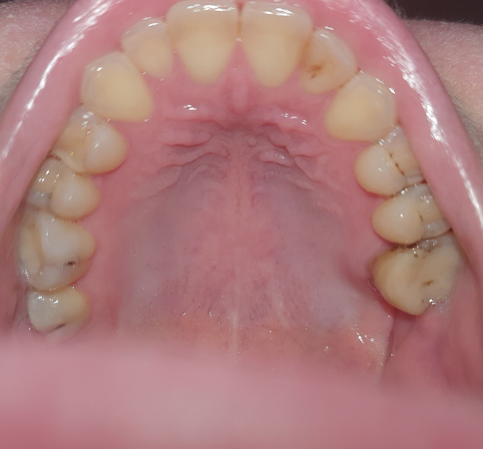
Зубам капец?((( Впечатлительным не смотреть

Так вышло, что было очень много проблем и очень-очень много финансов уходило за последние года 4...прямо ОЧЕНЬ много..зубы не лечила и снаружи катастрофы не было сильно заметно,но вот заколол верхний зуб, решила изнутри сфотографировать, а там катастрофа..все в кариесе, все в трешинах ((((((( ужас...неужели если нет денег на виниры, то зубам теперь капец в таком состоянии?
attached-photo
67 0
Все фото темыКомментарии автораМои ответы
  • 1
  • 2
  • 3
anonim_185
Г@Л@В@ломка• 04 января 2022
1
Это вы капецовых ситуаций не видели. У вас все не та плохо, как вам кажется. Идите и начинайте лечение.
anonim_95
Аноним_Галя• 04 января 2022
2
То вы еще ужас не видели))) Пломбирование и реставрация - и будет все ок))
anonim_51
Багиня• 04 января 2022
3
причем тут виниры?все вовремя нужно делать,а теперь да готовте бабло и много
anonim_14
Умею мерить лучше всех• 04 января 2022
4
Да нет,все пломбируется ничегг критичного
anonim_96
Петя-петушок• 04 января 2022
5
Курите?
Ну не совсем уж капец, подлечите, хорошо почистите у стоматолога и норм будет.
anonim_136
автор Глубоководная селедка • 04 января 2022
6
Ответ дляАноним_Галя
То вы еще ужас не видели))) Пломбирование и реставрация - и будет все ок))
а реставрация это на эмаль что-то наносят ?
anonim_2
Ромашка_Бегемотовна• 04 января 2022
7
Начинать нужно с пломб, зачем виниры? Тем более, Вы сами сказали, что эстетически все нормально. Пломбируйте по 1 в месяц, можно ужаться, не так уж много это по деньгам.
anonim_162
В рот не ложи• 04 января 2022
8
То чувство, когда мой ухоженный рот выглядит ничем не лучше
anonim_136
автор Глубоководная селедка • 04 января 2022
9
Ответ дляПетя-петушок
Курите?
Ну не совсем уж капец, подлечите, хорошо почистите у стоматолога и норм будет.
правда? я просто подумала, что это все....катастрофа просто. выглядит реально ужасно .... думала такое не лечат
anonim_136
автор Глубоководная селедка • 04 января 2022
10
Ответ дляРомашка_Бегемотовна
Начинать нужно с пломб, зачем виниры? Тем более, Вы сами сказали, что эстетически все нормально. Пломбируйте по 1 в месяц, можно ужаться, не так уж много это по деньгам.
да, сейчас так и планирую, раз в месяц((( чаще не получится никак...
anonim_136
автор Глубоководная селедка • 04 января 2022
11
Ответ дляГ@Л@В@ломка
Это вы капецовых ситуаций не видели. У вас все не та плохо, как вам кажется. Идите и начинайте лечение.
спасибо...обнадежили, я ревела полвечера
anonim_13
Покорительная• 04 января 2022
12
И где капец? У меня с 13 лет в каждом зубе по 3 пломбы, 4 штуки без нервов уже к 18 годам были. К 37 - полная реставрация, 3 коронки, 2 штифта...
anonim_88
Неуловимый Джо• 04 января 2022
13
Нормальные зубы. Это далеко не капец
anonim_95
Аноним_Галя• 04 января 2022
14
Ответ дляГлубоководная селедка
а реставрация это на эмаль что-то наносят ?
Это эстетическое оформление зуба, чтоб он выглядел красиво, натурально. По сути та же пломба, правильно подобрана под цвет и эстетически оформлена
anonim_136
автор Глубоководная селедка • 04 января 2022
15
Ответ дляАноним_Галя
Это эстетическое оформление зуба, чтоб он выглядел красиво, натурально. По сути та же пломба, правильно подобрана под цвет и эстетически оформлена
Поняла. Спасибо!
anonim_136
автор Глубоководная селедка • 04 января 2022
16
Ответ дляПокорительная
И где капец? У меня с 13 лет в каждом зубе по 3 пломбы, 4 штуки без нервов уже к 18 годам были. К 37 - полная реставрация, 3 коронки, 2 штифта...
а трещинки тоже лечатся ? полосы тонкие по эмали. это реставрация или пломбируют?
anonim_160
Глаза_в_3_карата• 04 января 2022
17
То Вы капца не видели
anonim_176
Не прохожу мимо• 04 января 2022
18
Пломбы и коронки на моляры. Там большие полости, и если не лечить коронкой, то будет ненадежно
anonim_176
Не прохожу мимо• 04 января 2022
19
Ответ дляГлубоководная селедка
а трещинки тоже лечатся ? полосы тонкие по эмали. это реставрация или пломбируют?
Трещинки на лечатся.
anonim_136
автор Глубоководная селедка • 04 января 2022
20
Ответ дляНе прохожу мимо
Трещинки на лечатся.
блин, так это же могут зубы выпасть...неужели ничем не заделывают? пломба?
anonim_117
Банан-барабан• 04 января 2022
21
То что у автора нет семёрок и восьмерок вообще никого не смущает
Детям пора баиньки
anonim_136
автор Глубоководная селедка • 04 января 2022
22
Ответ дляНе прохожу мимо
Пломбы и коронки на моляры. Там большие полости, и если не лечить коронкой, то будет ненадежно
спасибо, поняла
noavatar
Ірина-3db2• 04 января 2022
23
Ответ дляГлубоководная селедка
а реставрация это на эмаль что-то наносят ?
Ні, це після пломбування придають правильну форму зубу. Щоб був правильний прикус. Зуб він ж природньо не плоский, а з борознами, які навіть на фото зараз видно. Коли реставрують враховують як замикаються верхня і нижня щелепа, щоб вам було комфортно жувати.
Бо є ситуації коли пломбу , роблять плоску - це виглядає ніби жвачкою заліпили . Так не має бути!

У вас не складний випадок.
Повірте Починайте лікувати . Якщо тягнутимете, то коштуватиме тільки дороще.
anonim_198
Стебель_березы• 04 января 2022
24
Ответ дляГлубоководная селедка
спасибо...обнадежили, я ревела полвечера
Просто пломбы поставить.
anonim_136
автор Глубоководная селедка • 04 января 2022
25
Ответ дляБанан-барабан
То что у автора нет семёрок и восьмерок вообще никого не смущает
Детям пора баиньки
не семерок, а СЕМЕРКИ одной. она удалена лет 8 назад.
мудрости тоже удалены. и верхние и нижние
anonim_117
Банан-барабан• 04 января 2022
26
Ответ дляГлубоководная селедка
не семерок, а СЕМЕРКИ одной. она удалена лет 8 назад.
мудрости тоже удалены. и верхние и нижние
Досчиталась уже)) реально решила что детская челюсть
anonim_8
Оскорбляю всячески• 04 января 2022
27
Не без кариеса, но вот этот черный налет - еще не беда, одна дырочка точно есть.
anonim_136
автор Глубоководная селедка • 04 января 2022
28
Ответ дляБанан-барабан
Досчиталась уже)) реально решила что детская челюсть
та не, думаю у детей не бывает такого ужаса))))))
anonim_7
Сосиска_Втесте• 04 января 2022
29
Ответ дляГлубоководная селедка
правда? я просто подумала, что это все....катастрофа просто. выглядит реально ужасно .... думала такое не лечат
Катастрофа то когда вообще зубы сгнили и повыпадали. Идите и приводите в порядок,хотя бы по частям
anonim_136
автор Глубоководная селедка • 04 января 2022
30
Ответ дляІрина-3db2
Ні, це після пломбування придають правильну форму зубу. Щоб був правильний прикус. Зуб він ж природньо не плоский, а з борознами, які навіть на фото зараз видно. Коли реставрують враховують як замикаються верхня і нижня щелепа, щоб вам було комфортно жувати.
Бо є ситуації коли пломбу , роблять плоску - це виглядає ніби жвачкою заліпили . Так не має бути!

У вас не складний випадок.
Повірте Починайте лікувати . Якщо тягнутимете, то коштуватиме тільки дороще.
спасибо большое!
  • 1
  • 2
  • 3
Мнения, изложенные в теме, передают взгляды авторов и не отражают позицию Kidstaff
Тема закрыта

Похожие темы:

Ще з цiкавого


Популярные вопросы!

Сегодня Вчера 7 дней 30 дней

ещё

Сейчас читают!

Назад Комментарии к ответу

О нас | Служба Поддержки | Помощь

Правила | Ограничения | Cookies ©2008—2025 Советчица Kidstaff