sovetchitsa
Советчица
Вход Регистрация
Спросить Советую Промо публикация Поиск товара
Настройки
Язык меню: ru ua Шрифт: a a a
Служба поддержки
Вход Регистрация
Правила | Ограничения | Cookies
©2008—2025 Советчица Kidstaff
Советчица - Здоровье и Красота - Врачи
noavatar
Olena202• 09 февраля 2022

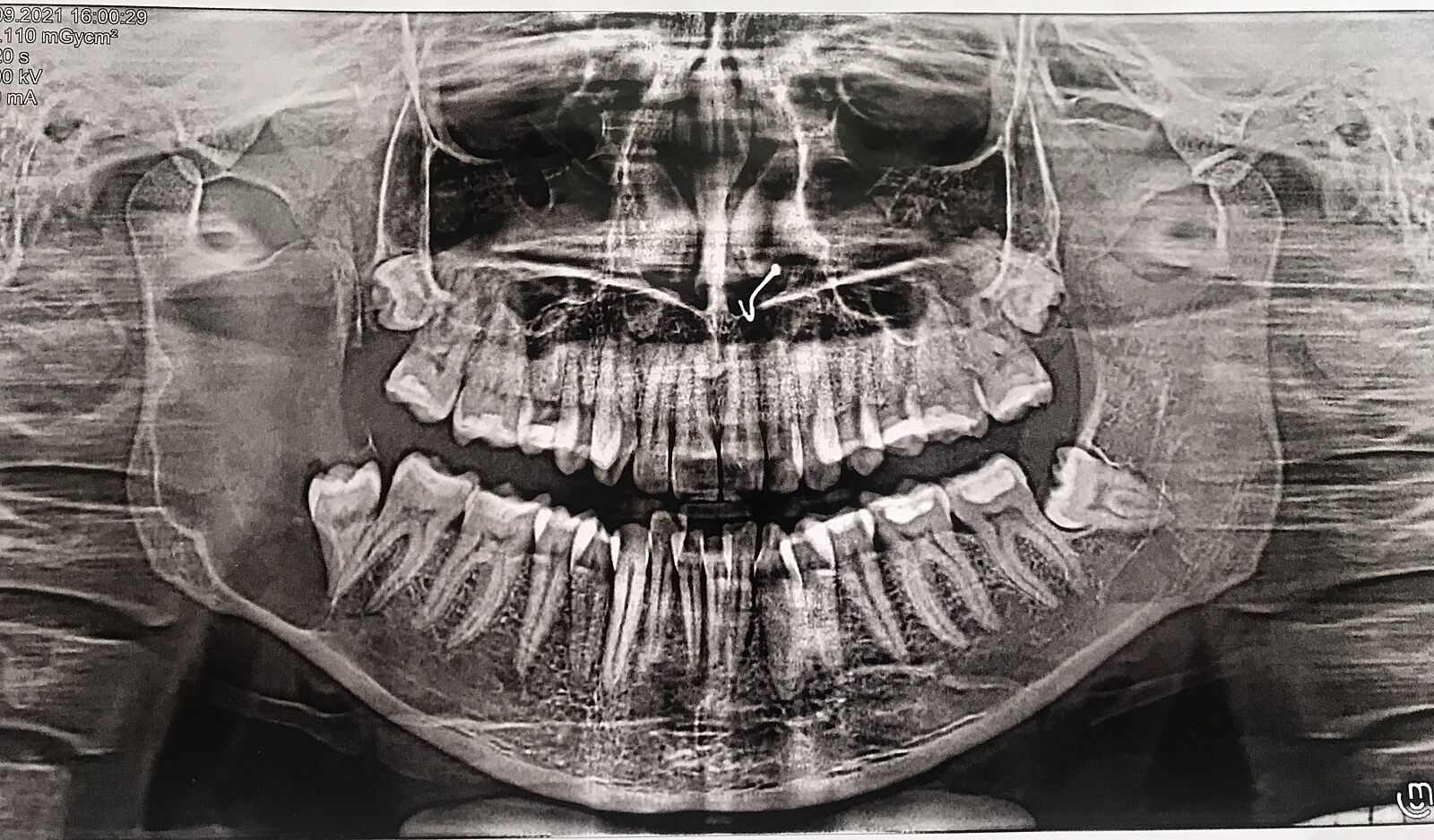
Кто удалял фолликулярную кисту зуба (большого размера)

Посоветуйте челюстно лицевого хирурга , для удаление кисты
Нужно будет наращивать кость.
Спасибо за ответы😊
attached-photo
3 0
Все фото темыКомментарии автораМои ответы
noavatar
KateFrosty• 09 февраля 2022
1
Город без разницы? Владимир Фоя. Больница в районе С.Стрельцов.
noavatar
автор Olena202 • 09 февраля 2022
2
Ответ дляKateFrosty
Город без разницы? Владимир Фоя. Больница в районе С.Стрельцов.
Желательно Киев, спасибо)
noavatar
KateFrosty• 09 февраля 2022
3
Ответ дляOlena202
Желательно Киев, спасибо)
Если интересно, то напишите мне в личку. Дам его номер.
Мнения, изложенные в теме, передают взгляды авторов и не отражают позицию Kidstaff
Тема закрыта

Похожие темы:

Ще з цiкавого


Популярные вопросы!

Сегодня Вчера 7 дней 30 дней

ещё

Сейчас читают!

Благотворительность!

Назад Комментарии к ответу

О нас | Служба Поддержки | Помощь

Правила | Ограничения | Cookies ©2008—2025 Советчица Kidstaff