Я только за!• 03 июля 2023
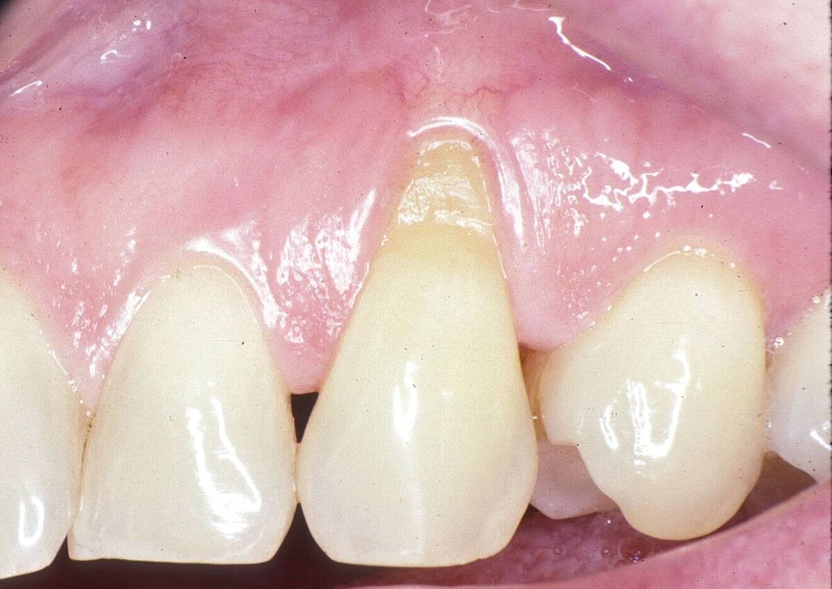
Опущення десни на 1 зубові передньому нижньому …яка причина
Як на фото
Але внизу зуб
Але внизу зуб
1
Затишне кубло• 03 июля 2023
Жорстка щітка, жорстка їжа, неправильний прикус, тому йде перенавантаження на ясна або пародонтоз
УжеВотДа• 03 июля 2023
Ответ дляЯ нє Матрьошка!
Ну причины вы и нагуглить можете. У меня состав слюны.
ухти! це ж як Ви дізналися?
я теж хочу, мій стоматолог розводить руками і каже що причин може бути багато, точно нікому не відомо від чого
я теж хочу, мій стоматолог розводить руками і каже що причин може бути багато, точно нікому не відомо від чого
Затишне кубло• 03 июля 2023
Ответ дляЯ нє Матрьошка!
Ну причины вы и нагуглить можете. У меня состав слюны.
Що ви маєте на увазі? І як з цим боротись? Вперше чую таку причину. Розкажіть, будь ласка
УжеВотДа• 03 июля 2023
якщо так сильно і тільки один, значить проблема з надмірним навантаженням на цей зуб
Я нє Матрьошка!• 03 июля 2023
Ответ дляЗатишне кубло
Що ви маєте на увазі? І як з цим боротись? Вперше чую таку причину. Розкажіть, будь ласка
Никак. Пластика на определеном этапе.
1
Затишне кубло• 03 июля 2023
Ответ дляЯ нє Матрьошка!
Никак. Пластика на определеном этапе.
Дякую. А Ви робили вже пластику?
Я нє Матрьошка!• 03 июля 2023
Ответ дляЗатишне кубло
Дякую. А Ви робили вже пластику?
Нет. Тяну. Знакомая делала.
Затишне кубло• 03 июля 2023
В мене почалось таке десь з 25 років, мені здається через жорстку щітку, перейшла на м´яку, спостерігаю
Затишне кубло• 03 июля 2023
Ответ дляЯ нє Матрьошка!
Нет. Тяну. Знакомая делала.
І як їй? Дуже страшно? Чи все пройшло норм?
Техпаспорт на медузу• 03 июля 2023
Ответ дляЗатишне кубло
В мене почалось таке десь з 25 років, мені здається через жорстку щітку, перейшла на м´яку, спостерігаю
А в мене через деякий час після брекетів.
На деяких зубах залишилися руді плями від брекетів по лінії ясен. Прибрати їх не можна, бо емаль знімається з цим всим разом.
І на цих зубах є опущення ясен.
У мене внизу на пʼятірці і четвірці з різних боків
На деяких зубах залишилися руді плями від брекетів по лінії ясен. Прибрати їх не можна, бо емаль знімається з цим всим разом.
І на цих зубах є опущення ясен.
У мене внизу на пʼятірці і четвірці з різних боків
Затишне кубло• 03 июля 2023
Ответ дляТехпаспорт на медузу
А в мене через деякий час після брекетів.
На деяких зубах залишилися руді плями від брекетів по лінії ясен. Прибрати їх не можна, бо емаль знімається з цим всим разом.
І на цих зубах є опущення ясен.
У мене внизу на пʼятірці і четвірці з різних боків
На деяких зубах залишилися руді плями від брекетів по лінії ясен. Прибрати їх не можна, бо емаль знімається з цим всим разом.
І на цих зубах є опущення ясен.
У мене внизу на пʼятірці і четвірці з різних боків
У Вас є чутливість цих зубів? В мене є, рятуюсь гелем
Я нє Матрьошка!• 03 июля 2023
Ответ дляЗатишне кубло
І як їй? Дуже страшно? Чи все пройшло норм?
Та, она сама врач, ей все не страшно))
Я в пол уха слушала. Ей не трансплантацию ткани делали, а брали ее кровь из вены и чего-то там отделяли и это толи кололи в десну, толи.... в общем ее как-то заставляют расти. Мне слушать было жутко )) потом видела, что у нее нити были натянуты от десны к краю зуба, жаловалась, что тянет. Поэтому я тяну. )) вот только чистку делала, врач срочно не отправляла к хирургу, я выдохнула. Еще немного потяну )))
Я в пол уха слушала. Ей не трансплантацию ткани делали, а брали ее кровь из вены и чего-то там отделяли и это толи кололи в десну, толи.... в общем ее как-то заставляют расти. Мне слушать было жутко )) потом видела, что у нее нити были натянуты от десны к краю зуба, жаловалась, что тянет. Поэтому я тяну. )) вот только чистку делала, врач срочно не отправляла к хирургу, я выдохнула. Еще немного потяну )))
Затишне кубло• 03 июля 2023
Ответ дляЯ нє Матрьошка!
Та, она сама врач, ей все не страшно))
Я в пол уха слушала. Ей не трансплантацию ткани делали, а брали ее кровь из вены и чего-то там отделяли и это толи кололи в десну, толи.... в общем ее как-то заставляют расти. Мне слушать было жутко )) потом видела, что у нее нити были натянуты от десны к краю зуба, жаловалась, что тянет. Поэтому я тяну. )) вот только чистку делала, врач срочно не отправляла к хирургу, я выдохнула. Еще немного потяну )))
Я в пол уха слушала. Ей не трансплантацию ткани делали, а брали ее кровь из вены и чего-то там отделяли и это толи кололи в десну, толи.... в общем ее как-то заставляют расти. Мне слушать было жутко )) потом видела, что у нее нити были натянуты от десны к краю зуба, жаловалась, что тянет. Поэтому я тяну. )) вот только чистку делала, врач срочно не отправляла к хирургу, я выдохнула. Еще немного потяну )))
Я бачила пластику роблять - шматочок ясен беруть зі щоки або з ньоба и пришивають до оголених зубів.
Сама собі лікар• 03 июля 2023
Ну у вас клиновидный дефект, причина неправильный прикус или гигиена. Лечение подшить десну или пломба или так ходить, это не кариозное состояние
Техпаспорт на медузу• 03 июля 2023
Ответ дляЗатишне кубло
У Вас є чутливість цих зубів? В мене є, рятуюсь гелем
Ні, немає чутливості
1
Ясамаякрасивая)• 03 июля 2023
У Мужа началось в Египте и оказалась инфекция от воды, долгое лечение и дорогое, страховка покрыла не все и долго ждали одобрения
Само_достаточная• 04 июля 2023
Травматична оклюзія. Можна трохи пришліфувати місця контакту з антагоністом. Але якщо десна значно опустилась, то тільки пластика допоможе.
Мнения, изложенные в теме, передают взгляды авторов и не отражают позицию Kidstaff
Тема закрыта
Похожие темы:
Назад Комментарии к ответу