sovetchitsa
Советчица
Вход Регистрация
Спросить Советую Промо публикация Поиск товара
Настройки
Язык меню: ru ua Шрифт: a a a
Служба поддержки
Вход Регистрация
Правила | Ограничения | Cookies
©2008—2026 Советчица Kidstaff
Советчица - Здоровье и Красота - Болезни и лекарства
anonim_13
Я пані прохана...• 10 февраля 2024

Как жевать, если нет 8ки и 6ки? И про импланты/мосты

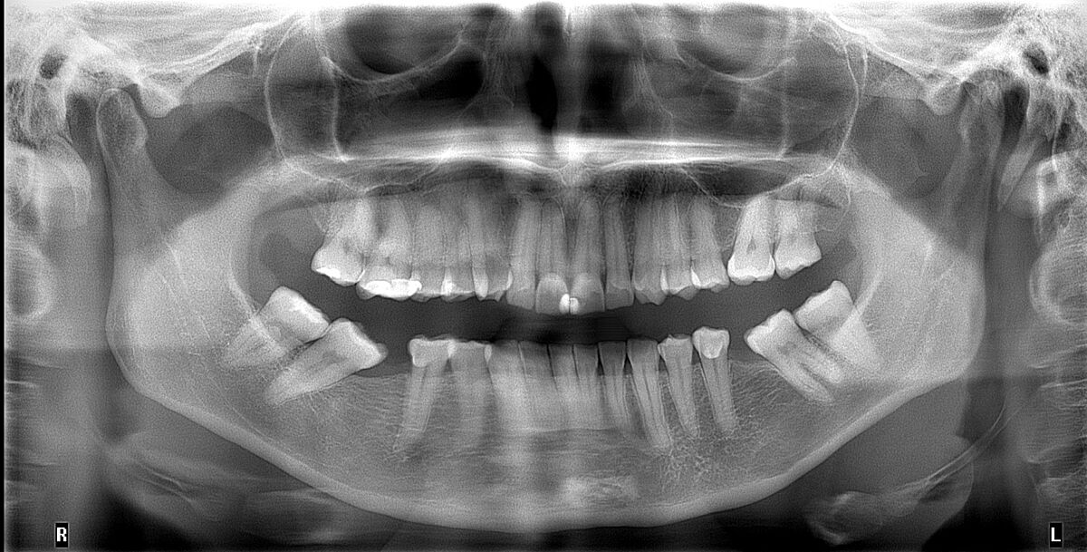
У меня зубная диллема. Мне надо ставить брекеты на 2 года, чтоб раздвинуть 5 и 7 под импланты, внизу с обеих сторон нет шестерок. Ортодонт сказал, что с одной стороны не получится раздвинуть под имплант, только под мост. Но я же правильно понимаю, что мосты это ерунда и лучше имплант? Если под имплант, то говорит надо удалять восьмерки. Но как 2 года жевать одними нагнутыми семерками и пятерками? Это реально или плохая идея?
attached-photo
28 0
Все фото темыКомментарии автораМои ответы
anonim_22
Анонім Секретар• 10 февраля 2024
1
Я два роки жила без двох нижніх шісток, жувала на п´ятірках, на сімках і норм
anonim_13
автор Я пані прохана... • 10 февраля 2024
2
Ответ дляАнонім Секретар
Я два роки жила без двох нижніх шісток, жувала на п´ятірках, на сімках і норм
Вісімок не було?
anonim_22
Анонім Секретар• 10 февраля 2024
3
Ответ дляЯ пані прохана...
Вісімок не було?
Були і вісімки)
anonim_13
автор Я пані прохана... • 10 февраля 2024
4
Ответ дляАнонім Секретар
Я два роки жила без двох нижніх шісток, жувала на п´ятірках, на сімках і норм
Я і так повільно їм. Мені здається якщо ще 8ки прибрати, то це по 2 години можна їсти)
anonim_13
автор Я пані прохана... • 10 февраля 2024
5
Ответ дляАнонім Секретар
Були і вісімки)
Тобто просто 6их не було? Так і в мене так багато років. В мене питання що, якщо ще й вісімок позбутись) бо вони в мене як жувальні зараз
anonim_175
Ангелок з ріжками• 10 февраля 2024
6
Не видаляйте 8, нові не виростуть, ніякі імпланти свої не замінять.
like 1 dislike 3
anonim_13
автор Я пані прохана... • 10 февраля 2024
7
Ответ дляАнгелок з ріжками
Не видаляйте 8, нові не виростуть, ніякі імпланти свої не замінять.
Ну в мене вибір або 2 здорових зуба покалічити під міст, або видалити по факту зайві вісімки
woman_facepalming 1
anonim_185
ГугелП@лАмался• 10 февраля 2024
8
Ви що, не бачите, як ті вісімки вам зуби сусідні поздвигали? Їх треба було ще раніше поудаляти
anonim_175
Ангелок з ріжками• 10 февраля 2024
9
8 теж здорові. Чому саме зараз вирішили щось робити? Що саме Вас турбує? Що з 5 зубами, там пломба є? Варіанти ще є, тільки у Вас, чомусь, найдорожчі.
anonim_175
Ангелок з ріжками• 10 февраля 2024
10
Ответ дляГугелП@лАмался
Ви що, не бачите, як ті вісімки вам зуби сусідні поздвигали? Їх треба було ще раніше поудаляти
Ви взагалі, чи саме про ці зуби? Ці зуби ’поздвигали’ відсутність 6, а не 8.
like 1
anonim_13
автор Я пані прохана... • 10 февраля 2024
11
Ответ дляАнгелок з ріжками
8 теж здорові. Чому саме зараз вирішили щось робити? Що саме Вас турбує? Що з 5 зубами, там пломба є? Варіанти ще є, тільки у Вас, чомусь, найдорожчі.
8 здорові, але зайві. Як найменш тому, що над ними не буде інших вісімок, а тому і жувальної функції не буде. Турбує що постирались зуби через неправильний прикус і продовжують стиратись, особливо з однієї сторони. Жування не повноцінне. + Планую в майбутньому відновлювати висоту, а без виправлення прикусу це не має сенсу. Напруження щелепи через стертий прикус. Пришвидшене старіння через це (поки що немає, але лікарі попереджують). Корочше причин вистачає
woman_facepalming 1
anonim_13
автор Я пані прохана... • 10 февраля 2024
12
Ответ дляАнгелок з ріжками
8 теж здорові. Чому саме зараз вирішили щось робити? Що саме Вас турбує? Що з 5 зубами, там пломба є? Варіанти ще є, тільки у Вас, чомусь, найдорожчі.
А які ще варіанти ви бачите?
anonim_124
Сладко-соленая• 10 февраля 2024
13
У мене схожа ситуація, краще за все імпланти поставити. Міст взагалі не варіант
like 1
anonim_182
Воленс-неволенс• 10 февраля 2024
14
Мост на нижнюю челюсть это фигня, постоянная нагрузка, лучше имплант, у меня на нижней имплант, а на верхней мост и то потому что имплант поставить нельзя, так как в дёснах лежит зуб, который не вылез, и вариантов было только два или мост, или тянуть свой зуб
like 1
anonim_175
Ангелок з ріжками• 10 февраля 2024
15
Ответ дляЯ пані прохана...
8 здорові, але зайві. Як найменш тому, що над ними не буде інших вісімок, а тому і жувальної функції не буде. Турбує що постирались зуби через неправильний прикус і продовжують стиратись, особливо з однієї сторони. Жування не повноцінне. + Планую в майбутньому відновлювати висоту, а без виправлення прикусу це не має сенсу. Напруження щелепи через стертий прикус. Пришвидшене старіння через це (поки що немає, але лікарі попереджують). Корочше причин вистачає
Ви вийшли заміж за ортодонта? Ваші 8 зуби в контакті. А де верхній 6 зуб? Як в майбутньому, запропонували підвищувати висоту прикусу?
like 1
anonim_13
автор Я пані прохана... • 10 февраля 2024
16
Ответ дляАнгелок з ріжками
Ви вийшли заміж за ортодонта? Ваші 8 зуби в контакті. А де верхній 6 зуб? Як в майбутньому, запропонували підвищувати висоту прикусу?
8ки поки що в контакті, але після брекетів я так розумію вже не будуть. Я точно розумію, що я не хочу міст. Не знаю чому ортодонт каже, що не вийде посунути настільки, щоб імплант вмістився. Вверху 6й теж був видален, але підтягнулись і заповнили проміжок самі. Висоту піднімати вінірами
anonim_65
Ms. Доброта• 10 февраля 2024
17
Дівчата,підкажіть,будь ласка, у кого ставили імпланти,Київ
anonim_175
Ангелок з ріжками• 10 февраля 2024
18
Ответ дляЯ пані прохана...
8ки поки що в контакті, але після брекетів я так розумію вже не будуть. Я точно розумію, що я не хочу міст. Не знаю чому ортодонт каже, що не вийде посунути настільки, щоб імплант вмістився. Вверху 6й теж був видален, але підтягнулись і заповнили проміжок самі. Висоту піднімати вінірами
Вінірами Вам не висоту піднімуть, а красу наведуть. Чи вам пропонують вініри на 6, 7? Посунути важко, бо зуби назад майже не штовхаються, добре тільки вперед. Повірте, через 10 років Ви дуже пошкодуєте. Якщо фінансова можливісь дозволяє, робіть, але розумійте, що років через 10 сума буде раза в 2-3 більше,ніж зараз.
like 1
anonim_13
автор Я пані прохана... • 10 февраля 2024
19
Ответ дляАнгелок з ріжками
Вінірами Вам не висоту піднімуть, а красу наведуть. Чи вам пропонують вініри на 6, 7? Посунути важко, бо зуби назад майже не штовхаються, добре тільки вперед. Повірте, через 10 років Ви дуже пошкодуєте. Якщо фінансова можливісь дозволяє, робіть, але розумійте, що років через 10 сума буде раза в 2-3 більше,ніж зараз.
Чому пошкодую і яка ще сума через 10 років?
Вініри на всі зуби потрібні
Які ще варіанти?
anonim_175
Ангелок з ріжками• 10 февраля 2024
20
Ответ дляЯ пані прохана...
Чому пошкодую і яка ще сума через 10 років?
Вініри на всі зуби потрібні
Які ще варіанти?
Пошкодуєте, тому що будете 2 роки(по факту вийде більше) займатись оцим всім,що Ви написали, а потім будете переробляти, або мучитись. Вся ця краса тимчасова, і потребує догляду і заміни. Не всі це розуміють на початку своїх дій. Я ж і кажу, якщо у Вас буде фінансова можливість за цим доглядати, і періодично замінювати вініри, тоді робіть. Якби у Вас були проблеми з зубами,це одне, зовсім інше - Ваша історія. А взагалі, як я бачу, тут дуже люблять імпланти,і вважають їх панацеєю. Але поцікавтесь у тих, у кого вони стоять хоча б років 5-7 і більше( здивуєтесь кількості задоволених ). Але інколи, це дійсно чудовий варіант, просто до всього свої покази і протипокази.
anonim_13
автор Я пані прохана... • 10 февраля 2024
21
Ответ дляАнгелок з ріжками
Пошкодуєте, тому що будете 2 роки(по факту вийде більше) займатись оцим всім,що Ви написали, а потім будете переробляти, або мучитись. Вся ця краса тимчасова, і потребує догляду і заміни. Не всі це розуміють на початку своїх дій. Я ж і кажу, якщо у Вас буде фінансова можливість за цим доглядати, і періодично замінювати вініри, тоді робіть. Якби у Вас були проблеми з зубами,це одне, зовсім інше - Ваша історія. А взагалі, як я бачу, тут дуже люблять імпланти,і вважають їх панацеєю. Але поцікавтесь у тих, у кого вони стоять хоча б років 5-7 і більше( здивуєтесь кількості задоволених ). Але інколи, це дійсно чудовий варіант, просто до всього свої покази і протипокази.
Тобто ви думаєте кращий варіант взагалі нічого не робити?
anonim_175
Ангелок з ріжками• 10 февраля 2024
22
Ответ дляЯ пані прохана...
Тобто ви думаєте кращий варіант взагалі нічого не робити?
Чудовий висновок ! Рішення приймаєте Ви, і судячи з Вашої фразии ’ яка ще сума через 10 років’ , Ви таки до кінця ще не розумієте, що Вас чекає. Всі конструкції не вічні, і будуть потребувати заміни. Ви це не зробите один раз на все життя. Про варіант нічого не робити я ніде не писала.
like 1
anonim_13
автор Я пані прохана... • 10 февраля 2024
23
Ответ дляАнгелок з ріжками
Чудовий висновок ! Рішення приймаєте Ви, і судячи з Вашої фразии ’ яка ще сума через 10 років’ , Ви таки до кінця ще не розумієте, що Вас чекає. Всі конструкції не вічні, і будуть потребувати заміни. Ви це не зробите один раз на все життя. Про варіант нічого не робити я ніде не писала.
Просто ви розкритикували цей план, а на питанння про альтернативи не відповіли, тому і схоже, що клоните до того, що нащо щось робити, якщо пожалкую🤷‍♀️ я так розумію альтернатив все одно немає. Ви ортодонт/стоматолог? На чому основані ваші висновки?
anonim_175
Ангелок з ріжками• 10 февраля 2024
24
Ответ дляЯ пані прохана...
Просто ви розкритикували цей план, а на питанння про альтернативи не відповіли, тому і схоже, що клоните до того, що нащо щось робити, якщо пожалкую🤷‍♀️ я так розумію альтернатив все одно немає. Ви ортодонт/стоматолог? На чому основані ваші висновки?
Так,я стоматолог, тому лише попередила Вас про майбутнє, а не критикувала план. Спробую пояснити трошки інакше, у Вас є авто? Що буде з ним через 10 років, воно буде потребувати ремонту? Так само і зуби, вони не вічні. А альтернативи я не пишу тому, що не бачу Вас і не знаю ваш анамнез, і навіть вік. Ви маєте довіряти лікарю, і з ним вирішувати можливі варіанти.
anonim_13
автор Я пані прохана... • 10 февраля 2024
25
Ответ дляАнгелок з ріжками
Так,я стоматолог, тому лише попередила Вас про майбутнє, а не критикувала план. Спробую пояснити трошки інакше, у Вас є авто? Що буде з ним через 10 років, воно буде потребувати ремонту? Так само і зуби, вони не вічні. А альтернативи я не пишу тому, що не бачу Вас і не знаю ваш анамнез, і навіть вік. Ви маєте довіряти лікарю, і з ним вирішувати можливі варіанти.
Дякую за коментарі. Про вініри я в принципі в курсі, що можливо їх доведеться міняти через 10-15 років частково або повністю. Наскільки зрозуміла щодо ортодонтії, тут як пощастить. По ідеї, якщо обрати доброго ортодонта, то не має бути проблем чи може я чогось не знаю
anonim_136
Копуша• 10 февраля 2024
26
Восьмерок нет,под брекеты удалили,шестерок нет с двух сторон,будут имплант.Мост точно не ставьте,у меня испортились зубы под ним,это давно уже прошлый век.
like 1
anonim_175
Ангелок з ріжками• 10 февраля 2024
27
Ответ дляЯ пані прохана...
Дякую за коментарі. Про вініри я в принципі в курсі, що можливо їх доведеться міняти через 10-15 років частково або повністю. Наскільки зрозуміла щодо ортодонтії, тут як пощастить. По ідеї, якщо обрати доброго ортодонта, то не має бути проблем чи може я чогось не знаю
З Ваших слів Ви збираєтесь носити 2 роки брекети для того, щоб поставити 1 імплант? Чи доцільно це взагалі, якщо Ви не хочете міст, а по факту його отримаєте? Пошукайте ортодонта, який зробить так, щоб хоча б влізли імпланти.
anonim_13
автор Я пані прохана... • 10 февраля 2024
28
Ответ дляАнгелок з ріжками
З Ваших слів Ви збираєтесь носити 2 роки брекети для того, щоб поставити 1 імплант? Чи доцільно це взагалі, якщо Ви не хочете міст, а по факту його отримаєте? Пошукайте ортодонта, який зробить так, щоб хоча б влізли імпланти.
Я планую брекети, щоб вирівняти прикус, поставити 2 імпланти і вініри. На міст я не згодна. Ну от як варіант видалити вісімки і тоді легше буде звільнити місця под імпланти. Не знаю, чи питання в ортодонті. Я закордоном і тут з цим питання не таке просте, але про цього ортодонта в мене найбільше інформації, ніж про інших і хоч відгуки є. Тому от і питаня, якщо знайти іншого, про якого нічого невідомо, який пообіцяє звільнити місце під імпланти, чи дійсно вийде і якщо і вийде, то чи не вийде це боком. Корочше непросте в мене рішення
Мнения, изложенные в теме, передают взгляды авторов и не отражают позицию Kidstaff
Тема закрыта

Похожие темы:

Ще з цiкавого


Популярные вопросы!

Сегодня Вчера 7 дней 30 дней

ещё

Сейчас читают!

Назад Комментарии к ответу

О нас | Служба Поддержки | Помощь

Правила | Ограничения | Cookies ©2008—2026 Советчица Kidstaff