Анонимушка• 16 июля в 16:42
Есть ли у вас черные полоски на зубах?
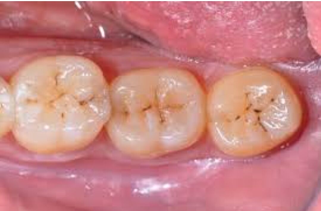
Типа таких, как на фото.
У меня такие полоски появились через пол года после прорезывания зубов
У меня такие полоски появились через пол года после прорезывания зубов
Невловимий Джо• 16 июля в 16:44
Не обязательно кариес , может плохо чистите . но стоит проверить у врача
2
автор
Анонимушка
• 16 июля в 16:47
Ответ дляPoradna
Це карієс. Де ви такі беретесь
Это не кариес. Они у меня уже 20 лет не изменяются. Хожу на осмотр каждые пол года. Только на трех жевательных зубах у меня был кариес за всю жизнь.
1
5
Чучело-Мяучело• 16 июля в 16:48
Это не всегда кариес, обратитесь к стоматологу, он вам точнее скажет что у вас. Бывают просто фиссуры, у моего ребенка так, доктор сказал, это не кариес и в лечении не нуждается
4
Ковбой Хагис• 16 июля в 16:49
Выше правильно пишут, что это фиссуры. И если это они - их не надо трогать.
4
дякую аж підскакую• 16 июля в 16:55
Ответ дляАнонимушка
Это не кариес. Они у меня уже 20 лет не изменяются. Хожу на осмотр каждые пол года. Только на трех жевательных зубах у меня был кариес за всю жизнь.
Вы ходите на осмотр регулярно и ни одного раза не додумались задать этот вопрос стоматологу?
2
Томатико• 16 июля в 17:01
Це не карієс. В мене таких немає.
Але я знаю точно, що це пігментація не повязана з карієсом
В мене просто колишній стоматолог
Але я знаю точно, що це пігментація не повязана з карієсом
В мене просто колишній стоматолог
1
3
Доставучая• 16 июля в 17:01
Тоже есть. И причем давно. Чистка не помогает. Пару зубов получили кариес. Остальное просто вот так.последние годы хожу регулярно к стоматологу.к разным врачам. Никто не говорил,что это кариес и что нужно это трогать
2
автор
Анонимушка
• 16 июля в 17:11
Ответ длядякую аж підскакую
Вы ходите на осмотр регулярно и ни одного раза не додумались задать этот вопрос стоматологу?
Врач говорит это пигментация
1
Кнопус• 16 июля в 17:17
Ніколи так карієс у мене не починався. Зазвичай зуб зверху білесенький, свердлять, а середина вся гнила. Тепер майже без зубів у свої 35 рочків.
Сусановна• 16 июля в 17:38
Ответ дляPoradna
Це карієс. Де ви такі беретесь
А я по описанию уже нарисовала себе картину ... Насколько народ темный ,элементарных вещей не знает
Та никада в жизни• 16 июля в 17:56
Ответ дляКнягиня пітьми
Это ж кариес.
Необязательно
У меня такое было больше 10 лет, прежде чем мне стоматолог сказал что надо лечить те зубы
У меня такое было больше 10 лет, прежде чем мне стоматолог сказал что надо лечить те зубы
дякую аж підскакую• 16 июля в 20:38
Ответ дляАнонимушка
Врач говорит это пигментация
Ну и норм
У меня была пигментация или как тут назвали фисуры на одном зубе
Не трогали пока не пришло время пломбировать
У меня была пигментация или как тут назвали фисуры на одном зубе
Не трогали пока не пришло время пломбировать
Мнения, изложенные в теме, передают взгляды авторов и не отражают позицию Kidstaff
Тема закрыта
Похожие темы:
Назад Комментарии к ответу

