Забризкана водою• 28 июля в 09:32
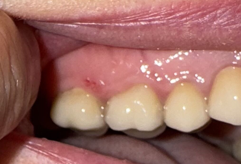
На десні над зубом пече. Чому там рана виникла?
В рот не ложи• 28 июля в 09:36
а у вас все коронки на этом фото?
а по теме - иммунитет ослаб и выскочило какое то воспаление. оно пройдёт само. полоскайте рот антисептиком и противовоспалительными растворами
а по теме - иммунитет ослаб и выскочило какое то воспаление. оно пройдёт само. полоскайте рот антисептиком и противовоспалительными растворами
ПП-шница• 28 июля в 09:40
Ответ дляВ рот не ложи
а у вас все коронки на этом фото?
а по теме - иммунитет ослаб и выскочило какое то воспаление. оно пройдёт само. полоскайте рот антисептиком и противовоспалительными растворами
а по теме - иммунитет ослаб и выскочило какое то воспаление. оно пройдёт само. полоскайте рот антисептиком и противовоспалительными растворами
А как вы видите что это коронки ?
В рот не ложи• 28 июля в 09:42
Ответ дляПП-шница
А как вы видите что это коронки ?
у вас наверное их нет. если б вы с ними сталкивались, то и вы бы видели)
Мнения, изложенные в теме, передают взгляды авторов и не отражают позицию Kidstaff
Тема закрыта
Похожие темы:
Назад Комментарии к ответу
