sovetchitsa
Советчица
Вход Регистрация
Спросить Советую Промо публикация Поиск товара
Настройки
Язык меню: ru ua Шрифт: a a a
Служба поддержки
Вход Регистрация
Правила | Ограничения | Cookies
©2008—2025 Советчица Kidstaff
Советчица - Здоровье и Красота - Психология
anonim_123
Приму в дар• 14 августа в 18:19

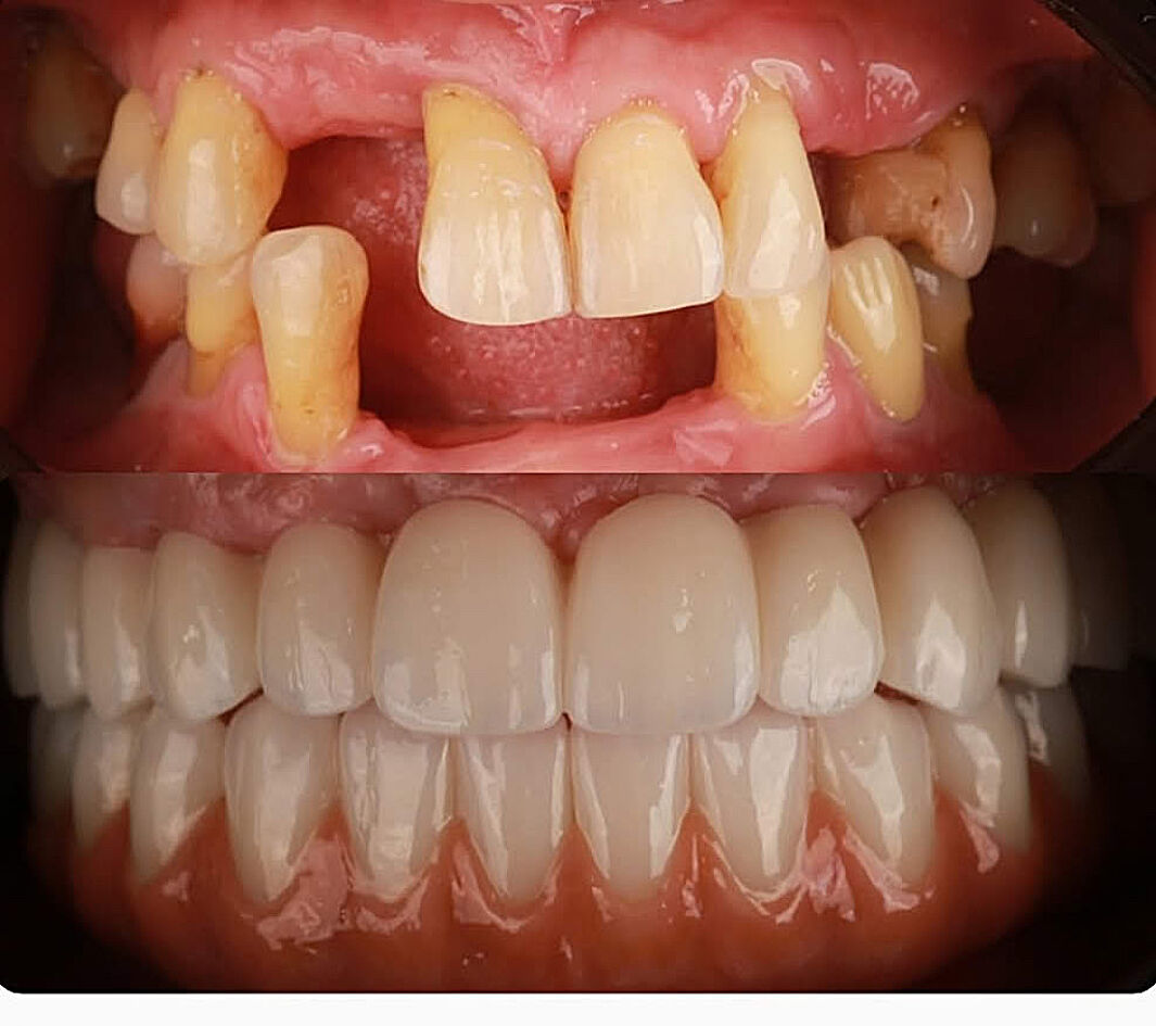
Ну як вам результат роботи, дівчата?

Хотіли би собі такі?
attached-photo
fire 1 clapping_hands 2 exploding_head 2 face_vomiting 6 like 16
28 0
Все фото темыКомментарии автораМои ответы
anonim_33
Таракашечка• 14 августа в 18:20
1
А де ті що були ділися ?
anonim_123
автор Приму в дар • 14 августа в 18:21
2
Ответ дляТаракашечка
А де ті що були ділися ?
Загубилися
clown_face 7
anonim_91
Русланка з гілки• 14 августа в 18:22
3
Так, гарні зубки стали. А що ви зробили, скільки це коштує? Розкажіть!
like 7
anonim_123
автор Приму в дар • 14 августа в 18:23
4
Ответ дляРусланка з гілки
Так, гарні зубки стали. А що ви зробили, скільки це коштує? Розкажіть!
Це не я) у мене є зуби
Цікавить думка оточуючих щодо таких вінірів
clown_face 7
anonim_91
Русланка з гілки• 14 августа в 18:24
5
Ответ дляПриму в дар
Це не я) у мене є зуби
Цікавить думка оточуючих щодо таких вінірів
Тобто просто зверху наклеїли?
anonim_123
автор Приму в дар • 14 августа в 18:24
6
Ответ дляРусланка з гілки
Тобто просто зверху наклеїли?
Так
clown_face 6
noavatar
oksi...• 14 августа в 18:26
7
Ответ дляПриму в дар
Це не я) у мене є зуби
Цікавить думка оточуючих щодо таких вінірів
Мені дуже подобається, форма натуральна, колір чудовий - не унітазний
anonim_36
Не пью, не курю• 14 августа в 18:26
8
Вигляд має цілком непоганий. Щодо функціональності не візьмусь коментувати.
anonim_172
Замурмишка• 14 августа в 18:26
9
Ответ дляТаракашечка
А де ті що були ділися ?
Зубная фея унесла)
anonim_31
Бутерброд з ікрою• 14 августа в 18:27
10
Я из-за парадантоза потеряла почти все зубы. Ставила виниры в Будапеште. По тем временам отдала всего лишь 12350 евро
woman_facepalming 1
anonim_123
автор Приму в дар • 14 августа в 18:27
11
Ответ дляoksi...
Мені дуже подобається, форма натуральна, колір чудовий - не унітазний
Мені теж ☺️
anonim_95
Пушкининиана• 14 августа в 18:27
12
Ответ дляБутерброд з ікрою
Я из-за парадантоза потеряла почти все зубы. Ставила виниры в Будапеште. По тем временам отдала всего лишь 12350 евро
виниры или импланты?
like 2
anonim_123
автор Приму в дар • 14 августа в 18:28
13
Ответ дляНе пью, не курю
Вигляд має цілком непоганий. Щодо функціональності не візьмусь коментувати.
Отож
anonim_31
Бутерброд з ікрою• 14 августа в 18:30
14
Ответ дляПушкининиана
виниры или импланты?
Виниры + импланты на месте отсутствующих зубов. У меня не было семи зубов и при этом большая часть оставшихся или лютые сколы или щербатые. Их и спасла при помощи наращивания и виниров
anonim_36
Не пью, не курю• 14 августа в 18:31
15
Ответ дляПриму в дар
Отож
Ну, не всім по карману імпланти. А жувати якось треба і посміхатися до людей також. Думаю, це сучасна естетична альтернатива старим ще радянським ’мостікам’.
woman_facepalming 2
anonim_200
Просто красавица• 14 августа в 18:33
16
Шикарно, але сумніваюся, що це одна людина
like 3
noavatar
oksi...• 14 августа в 18:33
17
Ответ дляПриму в дар
Отож
Функціонал - супер, їсти можна все. Замість пари гнилих пеньків, що роз´їхались в різні сторони, отримали рівний ряд з чудовим прикусом. Скоріше за все не меньше восьми імплантів. Тепер і краса і впевненість і функціонал. Тільки не забувати про гігієну
anonim_123
автор Приму в дар • 14 августа в 18:33
18
Ответ дляБутерброд з ікрою
Виниры + импланты на месте отсутствующих зубов. У меня не было семи зубов и при этом большая часть оставшихся или лютые сколы или щербатые. Их и спасла при помощи наращивания и виниров
Так, вініри+імпланти
anonim_6
Молчалка• 14 августа в 18:37
19
Ответ дляПриму в дар
Так, вініри+імпланти
Вініри чи коронки?
like 2
anonim_167
Залізний кіготь• 14 августа в 18:40
20
А которое фото ДО, а которое ПОСЛЕ?
anonim_184
Я натуралка• 14 августа в 19:01
21
я пересмотрела много виниров, мне не нравятся такие фото, только рот.
фото после - хотелось бі оценить на всем лице, с улібкой.

мало у кого есть такое.
anonim_42
Гарнюнька• 14 августа в 19:17
22
Ответ дляПриму в дар
Так, вініри+імпланти
На имплант только коронка ставится,а виниры-это накладка на свой зуб.
like 3
anonim_80
Бесконечность-не предел• 14 августа в 20:56
23
Ответ дляПриму в дар
Так, вініри+імпланти
це відколи на імпланти ставлять вініри?
face_with_tears_of_joy 1
anonim_111
бифидобактерияЖоржик• 21 августа в 01:06
24
Ответ дляБутерброд з ікрою
Виниры + импланты на месте отсутствующих зубов. У меня не было семи зубов и при этом большая часть оставшихся или лютые сколы или щербатые. Их и спасла при помощи наращивания и виниров
Семь имплантов прижилось ?
anonim_111
бифидобактерияЖоржик• 21 августа в 01:09
25
Здесь около 10 имплантов
anonim_31
Бутерброд з ікрою• 21 августа в 10:33
26
Ответ длябифидобактерияЖоржик
Семь имплантов прижилось ?
Всё прижилось отлично. Главное в Украине не делать.
anonim_111
бифидобактерияЖоржик• 21 августа в 12:33
27
Ответ дляБутерброд з ікрою
Всё прижилось отлично. Главное в Украине не делать.
Спасибо
anonim_120
Руда ліса• 12 сентября в 19:11
28
Ответ дляПриму в дар
Це не я) у мене є зуби
Цікавить думка оточуючих щодо таких вінірів
ужас виниры у десны. нижние норм, а верхние треш
Мнения, изложенные в теме, передают взгляды авторов и не отражают позицию Kidstaff
Тема закрыта

Похожие темы:

Ще з цiкавого


Популярные вопросы!

Сегодня Вчера 7 дней 30 дней

ещё

Сейчас читают!

Благотворительность!

Назад Комментарии к ответу

О нас | Служба Поддержки | Помощь

Правила | Ограничения | Cookies ©2008—2025 Советчица Kidstaff