sovetchitsa
Советчица
Вход Регистрация
Спросить Советую Промо публикация Поиск товара
Настройки
Язык меню: ru ua Шрифт: a a a
Служба поддержки
Вход Регистрация
Правила | Ограничения | Cookies
©2008—2025 Советчица Kidstaff
Советчица - Здоровье и Красота - Детское здоровье
anonim_109
Ленне-Рейма• Изменено 19 сентября в 20:29

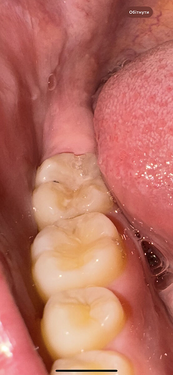
На зубі чорна риска- що це може бути? У дитини на постійному зубі

Це може бути від герметизації зубів?
В стоматолога була в червні, то цієї чорної точки не було
attached-photo
woman_facepalming 5
2 0
Все фото темыКомментарии автораМои ответы
anonim_134
Сердючка• 19 сентября в 20:31
1
Карієс може починатись
like 7
anonim_28
А я нівроку• 19 сентября в 20:39
2
Мнения, изложенные в теме, передают взгляды авторов и не отражают позицию Kidstaff
Тема закрыта

Похожие темы:

Ще з цiкавого


Популярные вопросы!

Сегодня Вчера 7 дней 30 дней

ещё

Сейчас читают!

Благотворительность!

Назад Комментарии к ответу

О нас | Служба Поддержки | Помощь

Правила | Ограничения | Cookies ©2008—2025 Советчица Kidstaff