Бойцовская• 03 января 2023
Может есть на сайте стоматологи либо кто разбирается
Доброе утро, уже нету сил терпеть боль,возможно кто разбирается в снимках, и мне подскажет
За день до Нового года обратилась к местному стоматологу( я заграницей), три месяца до этого у меня была боль под коронкой,которая сползла и между ней и десной попадала еда, врач срезал часть коронки на месте где нет зуба, прочистил и сказал походить пока заживет,поставим новую, так я ходила три месяца( у меня грудничек, не было возможности попасть к врачу раньше,живем далековато от врача), остаток коронки тоже видать сполз и снова таки еда забивалась между коронкой и десной, началась сильная боль. Когда наконец попала к врачу, он снял эту коронку, прочистил и наростил остаток зуба, потом подготовил его и зуб рядом с ним под коронку( рядом зуб живой), боль была даже под уколом, взял слепок на коронку. Таким образом отправил домой до следующего раза( когда коронки будут готовы).
Все это без снимков( у этого врача апарата для рентгена нет, частный кабинет).
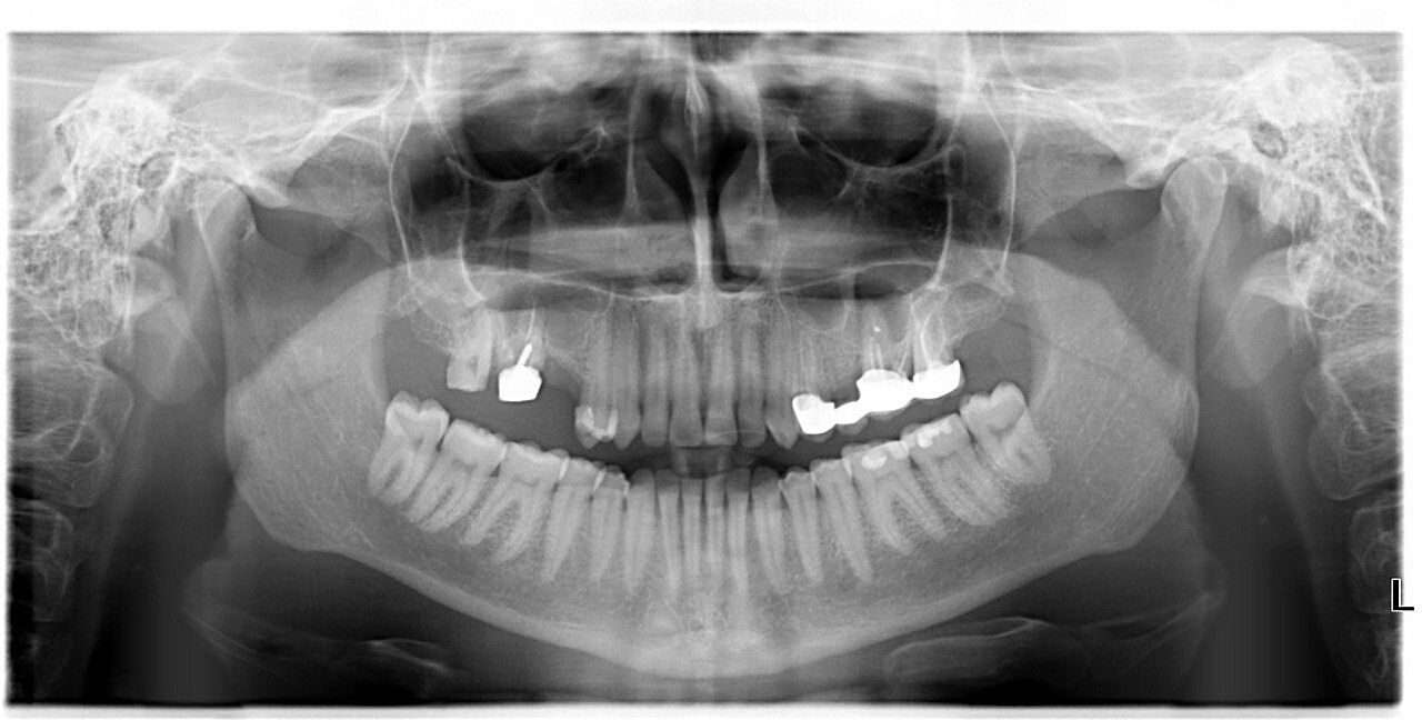
Все эти дни хожу мучаюсь от боли, сначала думала десна, полоскала разведенной антисептической жидкостью которую врач назвал, десна вроде заживают,но боль ничуть не утихла, на таблетках( кормлю грудью, поэтому позволяю себе только парацетамол). Вчера нашла клинику не далеко от себя, сделала панорамный снимок, но к врачу не попала( запись, ближайшее окошко в четверг), отправила снимок к врачу своему он" инфекции не видно, скорее всего болит живой зуб,посмотрим, когда ко мне попадете). На днях поеду к нему,но мучаюсь в сомнениях,так ли он компетентен, вдруг он что то неправильно сделал, что уже какой день боль такая. Посмотрите кто разбирается пожалуйста, болит вся верхняя правая сторона( крайние два верхних правых зуба( на снимке это вверхние два левых), так что боль до глаза доходит, в первые два дня стреляло даже в виски).
Даже пить воду на сторону больно( хожу и мучаюсь((((
За день до Нового года обратилась к местному стоматологу( я заграницей), три месяца до этого у меня была боль под коронкой,которая сползла и между ней и десной попадала еда, врач срезал часть коронки на месте где нет зуба, прочистил и сказал походить пока заживет,поставим новую, так я ходила три месяца( у меня грудничек, не было возможности попасть к врачу раньше,живем далековато от врача), остаток коронки тоже видать сполз и снова таки еда забивалась между коронкой и десной, началась сильная боль. Когда наконец попала к врачу, он снял эту коронку, прочистил и наростил остаток зуба, потом подготовил его и зуб рядом с ним под коронку( рядом зуб живой), боль была даже под уколом, взял слепок на коронку. Таким образом отправил домой до следующего раза( когда коронки будут готовы).
Все это без снимков( у этого врача апарата для рентгена нет, частный кабинет).
Все эти дни хожу мучаюсь от боли, сначала думала десна, полоскала разведенной антисептической жидкостью которую врач назвал, десна вроде заживают,но боль ничуть не утихла, на таблетках( кормлю грудью, поэтому позволяю себе только парацетамол). Вчера нашла клинику не далеко от себя, сделала панорамный снимок, но к врачу не попала( запись, ближайшее окошко в четверг), отправила снимок к врачу своему он" инфекции не видно, скорее всего болит живой зуб,посмотрим, когда ко мне попадете). На днях поеду к нему,но мучаюсь в сомнениях,так ли он компетентен, вдруг он что то неправильно сделал, что уже какой день боль такая. Посмотрите кто разбирается пожалуйста, болит вся верхняя правая сторона( крайние два верхних правых зуба( на снимке это вверхние два левых), так что боль до глаза доходит, в первые два дня стреляло даже в виски).
Даже пить воду на сторону больно( хожу и мучаюсь((((
автор
Бойцовская
• 03 января 2023
Ответ дляДоль Чекомбана
Здоровья вам, и чтобы вылечили зубы, а боль прошла!
Благодарю)
Банан-барабан• 03 января 2023
Незнаю поможет ли это вам, я не стоматолог и далека от этого всего но, недавно было такое, что разболелись нижние кутние зубы.
Пошла к врачу, кариес, удалили нерв, а боль никуда не ушла. Месяц ходила на таблетках, содой полоскала толку 0.
Пошла сделала снимок в другой клинике. Говорят все у вас нормально, ждите пока заживет. А боль не уменьшалась, спать нормально не могла, и прошло уже 2 месяца после депульпации.
Надоело пить таблетки, залила раствор бетадина на больной зуб. Чудом боль прошла через 10 минут. Без таблеток причем. Потом снова чувствовала что боль возвращается, заливала неделю. Зуб успокоился….
Пошла к врачу, кариес, удалили нерв, а боль никуда не ушла. Месяц ходила на таблетках, содой полоскала толку 0.
Пошла сделала снимок в другой клинике. Говорят все у вас нормально, ждите пока заживет. А боль не уменьшалась, спать нормально не могла, и прошло уже 2 месяца после депульпации.
Надоело пить таблетки, залила раствор бетадина на больной зуб. Чудом боль прошла через 10 минут. Без таблеток причем. Потом снова чувствовала что боль возвращается, заливала неделю. Зуб успокоился….
Если зуб живой и без временной коронки - да, может болеть и от воды. Если боль продолжается после прекращения действия раздражителя, то и пульпит может быть. Неживой зуб тоже восторга не вызывает: 1. качество эндодонтического лечения 2. наличие штифта с отклонением от оси канала 3. есть вопросы к качеству твердых тканей зуба под пломбировочным материалом ( надеюсь доктор снимал пломбу полностью и визуально все видел). И ненормально было начинать протезирование без снимков
2
Бриджит_Фрикандо• 03 января 2023
В семерке может быть пульпит, в шестом периодонтит. Врач не компетентный.
автор
Бойцовская
• 03 января 2023
Спасибо, поняла, что это ошибки врача и нужна искать другого, переделывать. 

Вилами по Воде• 03 января 2023
Лезла две недели на стену от боли,всех зубов .Тот сказал «Я не знаю чого болить,
,якать інфекція.»
Оказалось он канал не допломбировал,ото жесть была
Так что здоровья Вам,лечите зубки )
,якать інфекція.»
Оказалось он канал не допломбировал,ото жесть была
Так что здоровья Вам,лечите зубки )
автор
Бойцовская
• 03 января 2023
Ответ дляВилами по Воде
Лезла две недели на стену от боли,всех зубов .Тот сказал «Я не знаю чого болить,
,якать інфекція.»
Оказалось он канал не допломбировал,ото жесть была
Так что здоровья Вам,лечите зубки )
,якать інфекція.»
Оказалось он канал не допломбировал,ото жесть была
Так что здоровья Вам,лечите зубки )
Ну( написала ему, так он мне сказал чтоб я не смотрела на мнение других врачей, а верила ему, что у него более 20 лет стажа. Это при том что мы должны были эти зубы коронкой накрыть..
Как по мне то родить легче было чем от зубной боли мучаться🥴😵😔
Как по мне то родить легче было чем от зубной боли мучаться🥴😵😔
Мнения, изложенные в теме, передают взгляды авторов и не отражают позицию Kidstaff
Тема закрыта
Похожие темы:
Назад Комментарии к ответу