sovetchitsa
Советчица
Вход Регистрация
Спросить Советую Промо публикация Поиск товара
Настройки
Язык меню: ru ua Шрифт: a a a
Служба поддержки
Вход Регистрация
Правила | Ограничения | Cookies
©2008—2025 Советчица Kidstaff
Советчица - Здоровье и Красота - Врачи
anonim_194
ШобВам_КакНам• 24 сентября в 18:40

Ровные зубы

От природы дистальный прикус. Стояли брекеты, зубы сместились. Зубы мудрости вырвали после того как сняли брекеты. Зубы визуально ровные, но стоят абы как. Ну тоесть ряды ровные, но зубы стоят номер к номеру. 6 на, 5 на 5. Вот я и задумалась снова брекеты ставить. 2 зуба уже без нерва(один 7 лет, второй 2 месяца). Есть тут те кто живет с кривыми и не жалунтся? Потому что у меня норм зубы вроде как, ничего не болит, но что-то неймется. Передняя челюсть сильно выпирает, но это чисто визуально приносит дискомфорт, у меня проблема в том что ещё зубы большие верхние пережние, можно их ровными сделать только если 2 удалить, но есть шансы ослепнуть в лет 50
35 0
Все фото темыКомментарии автораМои ответы
  • 1
  • 2
anonim_194
автор ШобВам_КакНам • 24 сентября в 18:41
1
6 на 6, 5 на 5, 7 на 7, не между друг другом*
woman_facepalming 1
anonim_142
Джавеліна• 24 сентября в 18:42
2
Если это никак не грозит суставу, то я бы не трогала.
anonim_194
автор ШобВам_КакНам • 24 сентября в 18:42
3
Ответ дляДжавеліна
Если это никак не грозит суставу, то я бы не трогала.
Как раз таки грузит, но не прямо сильный дискомфорт, оно так с детства, я не знаю как иначе
noavatar
Alex_Kri• 24 сентября в 18:43
4
непонятно, при чем здесь ослепнуть в лет 50?
anonim_98
Сусідка знизу• 24 сентября в 18:43
5
Ответ дляAlex_Kri
непонятно, при чем здесь ослепнуть в лет 50?
От красоты зубов
face_with_tears_of_joy 6
anonim_194
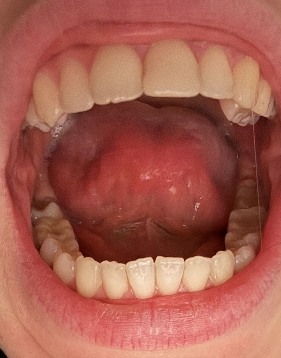
автор ШобВам_КакНам • 24 сентября в 18:44
6
attached-photo
anonim_194
автор ШобВам_КакНам • 24 сентября в 18:45
7
Ответ дляAlex_Kri
непонятно, при чем здесь ослепнуть в лет 50?
Такие вот дела
woman_facepalming 1
anonim_8
Пишущаяся• 24 сентября в 18:58
8
Ответ дляAlex_Kri
непонятно, при чем здесь ослепнуть в лет 50?
Может корни длинные и проросли через пазухи в глаза?
face_with_tears_of_joy 1
anonim_156
Шукаю трусики• 24 сентября в 18:58
9
Ответ дляШобВам_КакНам
фото
Ничего себе
А как вы откусываете ?
anonim_216
Дона Ко Ко• 24 сентября в 19:22
10
Автор, это уже после брекетов фото? Брекеты не исправили проблему верхних зубов?
anonim_194
автор ШобВам_КакНам • 24 сентября в 19:23
11
Ответ дляШукаю трусики
Ничего себе
А как вы откусываете ?
Боковыми
anonim_194
автор ШобВам_КакНам • 24 сентября в 19:28
12
Ответ дляДона Ко Ко
Автор, это уже после брекетов фото? Брекеты не исправили проблему верхних зубов?
А как исправить? Я много у кого была. Говорили или удалять 2 зуба или подпиливать, либо как у меня сейчас(низ от природы ровный, но горкой зубы)
attached-photo
anonim_97
Флюорография гуся• 24 сентября в 19:31
13
Я думаю, что выровнять можно операцией по расширению челюстей, совмещенной с брэкетами. А только ставить повторно брэкеты - снова расшатывание зубов и незапланированные смещения. Им не хватает места в челюсти
anonim_194
автор ШобВам_КакНам • 24 сентября в 19:31
14
К слову, спрашивала уже после результата носки. Мне 21, сняла брекеты 9 лет назад
anonim_97
Флюорография гуся• 24 сентября в 19:32
15
Ответ дляШобВам_КакНам
А как исправить? Я много у кого была. Говорили или удалять 2 зуба или подпиливать, либо как у меня сейчас(низ от природы ровный, но горкой зубы)
Пусть себе удалят здоровые зубы те, кто такое советует. Удаление зубов приводит к сужению челюстей и дыхательных путей. Не говоря о том, что они не лишние
anonim_194
автор ШобВам_КакНам • 24 сентября в 19:32
16
Ответ дляФлюорография гуся
Я думаю, что выровнять можно операцией по расширению челюстей, совмещенной с брэкетами. А только ставить повторно брэкеты - снова расшатывание зубов и незапланированные смещения. Им не хватает места в челюсти
Да, челюсти маленькие, это правда. Но в моём случае мало что поможет
anonim_194
автор ШобВам_КакНам • 24 сентября в 19:36
17
Ответ дляФлюорография гуся
Пусть себе удалят здоровые зубы те, кто такое советует. Удаление зубов приводит к сужению челюстей и дыхательных путей. Не говоря о том, что они не лишние
Это правда))) любые вмешательства в организм это бред полный. Кто-то с кривыми живёт и им норм, а кто-то с ровными, но много где нервы удалены, чувствительность и куча пломб(у меня также, но при этом верхние 6 зубов выпирают) и ваще абышо с этими зубами
like 1
anonim_94
Все знаю від і до• 24 сентября в 19:36
18
Ответ дляШобВам_КакНам
фото
Так вам будто и не ровняли, они же торчат, вы ретейнеры и капы не носили? Я не носила капы и ретейнеры и спустя 20 лет опять в том году носила брекеты уже сняла
like 1
anonim_194
автор ШобВам_КакНам • 24 сентября в 19:38
19
Ответ дляВсе знаю від і до
Так вам будто и не ровняли, они же торчат, вы ретейнеры и капы не носили? Я не носила капы и ретейнеры и спустя 20 лет опять в том году носила брекеты уже сняла
Носила ретнйнер. Попиляли зубы под него. Он начал гнить. И его сняли
crying_face 1
anonim_194
автор ШобВам_КакНам • 24 сентября в 19:40
20
Ответ дляВсе знаю від і до
Так вам будто и не ровняли, они же торчат, вы ретейнеры и капы не носили? Я не носила капы и ретейнеры и спустя 20 лет опять в том году носила брекеты уже сняла
Так и в целом все стоматологи руками разводят. Один(не очень хороший) кучу лет работает (30 наверное) сказала, что ооооочень тяжёлые зубы и сам прикус
anonim_194
автор ШобВам_КакНам • 24 сентября в 19:41
21
Ответ дляВсе знаю від і до
Так вам будто и не ровняли, они же торчат, вы ретейнеры и капы не носили? Я не носила капы и ретейнеры и спустя 20 лет опять в том году носила брекеты уже сняла
Так их и некуда деть, размера челюсти не хватает на все зубы. Восьмерки удалены. Так бы с ними полный калапс был бы
anonim_94
Все знаю від і до• 24 сентября в 19:53
22
Ответ дляШобВам_КакНам
Это правда))) любые вмешательства в организм это бред полный. Кто-то с кривыми живёт и им норм, а кто-то с ровными, но много где нервы удалены, чувствительность и куча пломб(у меня также, но при этом верхние 6 зубов выпирают) и ваще абышо с этими зубами
Автор но передние зубы вам ортодонт ногорукий так оставил ?
anonim_107
Не служанка• 24 сентября в 20:00
23
Ставьте эйрлайнеры. Через год - ночную капу пожизненно.
anonim_216
Дона Ко Ко• 24 сентября в 20:22
24
Ответ дляШобВам_КакНам
А как исправить? Я много у кого была. Говорили или удалять 2 зуба или подпиливать, либо как у меня сейчас(низ от природы ровный, но горкой зубы)
А вы консультировались у нескольких ортодонтов?
anonim_216
Дона Ко Ко• 24 сентября в 20:26
25
Извините, вижу,что у нескольких были. Я конечно не специалист,чтобы советы раздавать. Но на вашем месте я бы искала дальше ортодонта, который сможет исправить без удаления зубов
like 1
anonim_194
автор ШобВам_КакНам • 24 сентября в 20:32
26
Ответ дляДона Ко Ко
А вы консультировались у нескольких ортодонтов?
Да, у кучи)) никаких результатов. Елайнеры советовали, но они больше для кривых зубов, а дистальный прикус это не всегда кривые зубки
anonim_94
Все знаю від і до• 24 сентября в 20:37
27
Ответ дляШобВам_КакНам
К слову, спрашивала уже после результата носки. Мне 21, сняла брекеты 9 лет назад
Автор в Одесса Кононенко без операции расширитель ставит
anonim_94
Все знаю від і до• 24 сентября в 20:38
28
Ответ дляШобВам_КакНам
Носила ретнйнер. Попиляли зубы под него. Он начал гнить. И его сняли
Так нужно было новые одевать ретейнеры, как это они начали гнить, их люди десятилетиями носят, вы же что делили все ушло (
anonim_94
Все знаю від і до• 24 сентября в 20:41
29
Ответ дляШобВам_КакНам
Да, у кучи)) никаких результатов. Елайнеры советовали, но они больше для кривых зубов, а дистальный прикус это не всегда кривые зубки
Автор у вас за 9 лет зубы хуже разошлись чем у меня за 20 лет почти, мне в том году 40 было я второй раз относила 11 мес уже сняла, но приезжайте в Одессу к Кононенко вам 21 год всю жизнь жить еще, потом раз в два месяца ездить будете или раз месяц в зависимости от того какие брекеты поставят, но расширитель я у него носила в 25 лет без операций
anonim_94
Все знаю від і до• 24 сентября в 20:42
30
Ответ дляШобВам_КакНам
Носила ретнйнер. Попиляли зубы под него. Он начал гнить. И его сняли
Под ретейнеры зубы не пилят он клеится с обратной стороны челюсти
  • 1
  • 2
Мнения, изложенные в теме, передают взгляды авторов и не отражают позицию Kidstaff
Тема закрыта

Похожие темы:

Ще з цiкавого


Популярные вопросы!

Сегодня Вчера 7 дней 30 дней

ещё

Сейчас читают!

Благотворительность!

Назад Комментарии к ответу

О нас | Служба Поддержки | Помощь

Правила | Ограничения | Cookies ©2008—2025 Советчица Kidstaff