sovetchitsa
Советчица
Вход Регистрация
Спросить Советую Промо публикация Поиск товара
Настройки
Язык меню: ru ua Шрифт: a a a
Служба поддержки
Вход Регистрация
Правила | Ограничения | Cookies
©2008—2025 Советчица Kidstaff
Советчица - Здоровье и Красота - Врачи
anonim_16
Цікавий писочок• 29 ноября в 17:50

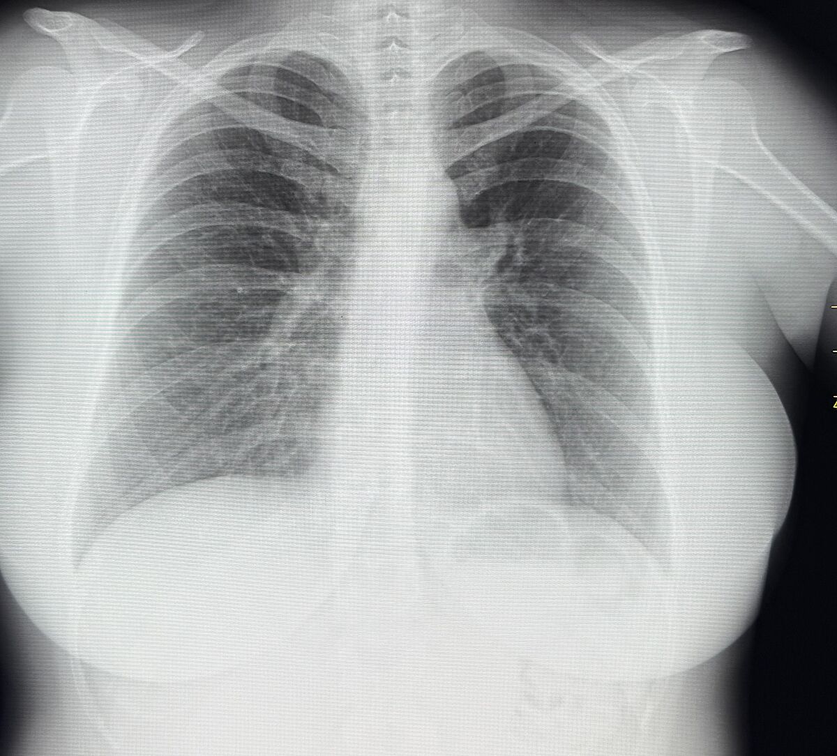
Рентген легенів. Хто розуміється?

Скажіть будь ласка щось бо мені до лікаря аж в понеділок
Зробила рентген легенів сказали про якісь спайки я не розуміюсь
Де там є спайки?
attached-photo
12 0
Все фото темыКомментарии автораМои благодарочкиМои ответы
anonim_117
Астоновитесь!• 29 ноября в 17:58
1
Якщо є спайки, то значить запалення було і легенева тканина замінилася на з´єднувальну. Давно ви хворіли?
anonim_16
автор Цікавий писочок • 29 ноября в 17:59
2
Ответ дляАстоновитесь!
Якщо є спайки, то значить запалення було і легенева тканина замінилася на з´єднувальну. Давно ви хворіли?
Та я хвора постійно то вже не щось нове
Я просто не знаю де їх там навіть побачити?
anonim_16
автор Цікавий писочок • 29 ноября в 17:59
3
Ответ дляАстоновитесь!
Якщо є спайки, то значить запалення було і легенева тканина замінилася на з´єднувальну. Давно ви хворіли?
І просто цікаво чи це якось небезпечно чи то ок? Чи має вплив якийсь ?
anonim_124
Несемо світло разом• 29 ноября в 18:03
4
Жить будете
anonim_16
автор Цікавий писочок • 29 ноября в 18:04
5
Ответ дляНесемо світло разом
Жить будете
Ой я вже сама не знаю
Я постійно хворію і до якого лікаря не йду всюди проблеми - інфекції і так далі
crying_face 1
anonim_117
Астоновитесь!• 29 ноября в 18:06
6
Ответ дляЦікавий писочок
І просто цікаво чи це якось небезпечно чи то ок? Чи має вплив якийсь ?
Це значить, що та частинка легень не працює, бо там шрам. У нас у всіх є ’шрами’ на легенях та на інших органах після хвороб. Це не страшно, якщо органи і далі продовжують виконувати свою функцію. Це як зі шкірою, якщо тільки з´явилися розтяжки на них можна ще вплинути, якщо давно, то вже нічого не зробиш.
anonim_16
автор Цікавий писочок • 29 ноября в 18:08
7
Ответ дляАстоновитесь!
Це значить, що та частинка легень не працює, бо там шрам. У нас у всіх є ’шрами’ на легенях та на інших органах після хвороб. Це не страшно, якщо органи і далі продовжують виконувати свою функцію. Це як зі шкірою, якщо тільки з´явилися розтяжки на них можна ще вплинути, якщо давно, то вже нічого не зробиш.
Дякую Вам!
В мене ще там щось викривлено ))) бляха
anonim_170
Дюймовочка• 29 ноября в 18:11
8
Не знаю де у вас спайки, але у мене той рік на рентгені був фіброз, знимок робила бо важке орві було і погано себе почувала. Сімейній було похер навіть пояснити що це, про лікування мова не шлася.
Так от, звернулася до іншого лікаря - вона по знімку каже так це пневмонія, ну і вислухала її.
Продукували і наступний знімок був нормальним.
Так що отакі ніякі лікарі: що рентгенолог, що сімейна.
anonim_61
Сиджу тихенько• 29 ноября в 18:23
9
Спайки типа рубцов.видно там было воспаление когда-то. Лёгкие там особо не работают. У меня и фиброз и спайки, особо не страдаю. Отдышка может быть, если физ нагрузка.
anonim_56
ЭкстрасенсиХаЯ• 29 ноября в 19:20
10
Слушайте, а у вас позвоночник дугой.
anonim_16
автор Цікавий писочок • 29 ноября в 19:40
11
Ответ дляЭкстрасенсиХаЯ
Слушайте, а у вас позвоночник дугой.
Я знаю((( я не знаю чому так сталось
anonim_16
автор Цікавий писочок • 29 ноября в 19:41
12
Ответ дляЭкстрасенсиХаЯ
Слушайте, а у вас позвоночник дугой.
Я так розумію що виправити це вже неможливо?( я ж кажу проблем купу
Мнения, изложенные в теме, передают взгляды авторов и не отражают позицию Kidstaff

Похожие темы:

Ще з цiкавого


Популярные вопросы!

Сегодня Вчера 7 дней 30 дней

ещё

Сейчас читают!

Назад Комментарии к ответу

О нас | Служба Поддержки | Помощь

Правила | Ограничения | Cookies ©2008—2025 Советчица Kidstaff