Аноним_1857• 01 января 2025
Повторный кариес
Пришла в стоматологию спустя почти полтора года где лечила 24,25,26 зуб.
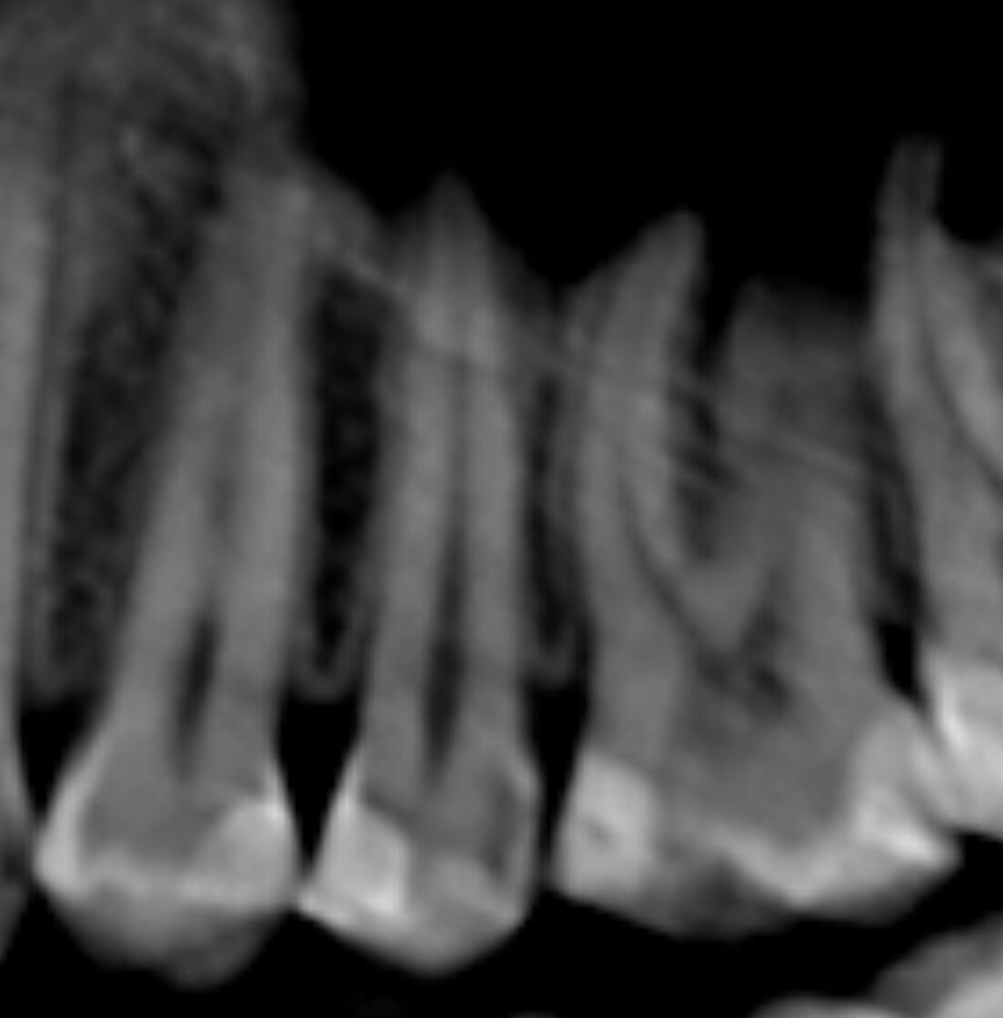
Потому что сделала кт и оно показало что есть кариес в 25, но в 24 и 26 нету. При осмотре врач сказала что кариес есть и в 24 и 26.
Во-первых, я не знаю как поступить, предъявлять ли что эти зубы я лечила полтора года назад у их клинике и что возможно это они не дочистили?
Во-вторых, есть ли вообще кариес в соседних зубах?
Я уже начала переживать что я сейчас долечиваю весь кариес, а он еще раз появится и что тогда делать, снова перелечивать(
И если все таки появился кариес это может быть моя вина?
На фото 24, 25, 26 зуб
Потому что сделала кт и оно показало что есть кариес в 25, но в 24 и 26 нету. При осмотре врач сказала что кариес есть и в 24 и 26.
Во-первых, я не знаю как поступить, предъявлять ли что эти зубы я лечила полтора года назад у их клинике и что возможно это они не дочистили?
Во-вторых, есть ли вообще кариес в соседних зубах?
Я уже начала переживать что я сейчас долечиваю весь кариес, а он еще раз появится и что тогда делать, снова перелечивать(
И если все таки появился кариес это может быть моя вина?
На фото 24, 25, 26 зуб
Ируся-пуся• 01 января 2025
Автор, это ж зубы, что вы докажите. Стоматолог плечами пожмет, скажет это у вас зубы плохие и дальше будет стричь с вас бабло
КликОЛЬКА• 01 января 2025
Для кого пишуть : огляд раз на півроку ? Карієс розвивається швидко. Претензія за півтора року не прийме жоден стоматолог . А на знімку, як мені здається : пломба з одного боку - карієс з іншого, тобто розвинувся після пломбування
Мнения, изложенные в теме, передают взгляды авторов и не отражают позицию Kidstaff
Тема закрыта
Похожие темы:
Назад Комментарии к ответу
