100pudov• 23 апреля в 21:12
Может быть есть тут стоматолог? Посмотрите пожалуйста
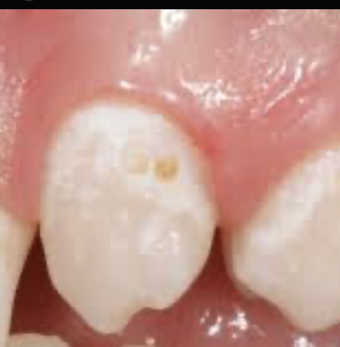
На зубе как две точки рядом, как две дырочки на вид , но зубочистка туда не входит, поэтому оно как такие два пятна на эмали
Это кариес? Фото очень тяжело было сделать, так как зуб сверху пред последний
Это кариес? Фото очень тяжело было сделать, так как зуб сверху пред последний
2
побольшомусекретику• 23 апреля в 21:13
Еще одно мега информативное фото. Вы его хоть сами смотрели?
3
Бабка-байкерша• 23 апреля в 21:17
Фото не очень.Похоже на меловидное пятно.Это предшественник кариеса.
автор
100pudov
• 23 апреля в 21:23
Ответ дляБабка-байкерша
Фото не очень.Похоже на меловидное пятно.Это предшественник кариеса.
Вот оно типа такое
Фото в интернете нашла
Фото в интернете нашла
автор
100pudov
• 23 апреля в 21:25
Ответ дляСіточка
А вы чистку давно делали? На вид воспаленные десна с камнем
А где вы там камень увидели? Зубы совсем без него, белые
Бабка-байкерша• 23 апреля в 21:26
Ответ для100pudov
Вот оно типа такое
Фото в интернете нашла
Фото в интернете нашла
Нужно смотреть есть ли нарушение целостности эмали и насколько оно глубокое.Зуб молочный,если полости ещё нет,можно сохранить до смены зубов.Нужно показать стоматологу.Пока уделите особое внимание гигиене,не допускайте налета.
Сіточка• 23 апреля в 21:26
Ответ для100pudov
А где вы там камень увидели? Зубы совсем без него, белые
Вроде как на первом справа
Мнения, изложенные в теме, передают взгляды авторов и не отражают позицию Kidstaff
Тема закрыта
Похожие темы:
Назад Комментарии к ответу
