Дело было давно• 18 июля в 18:33
                  
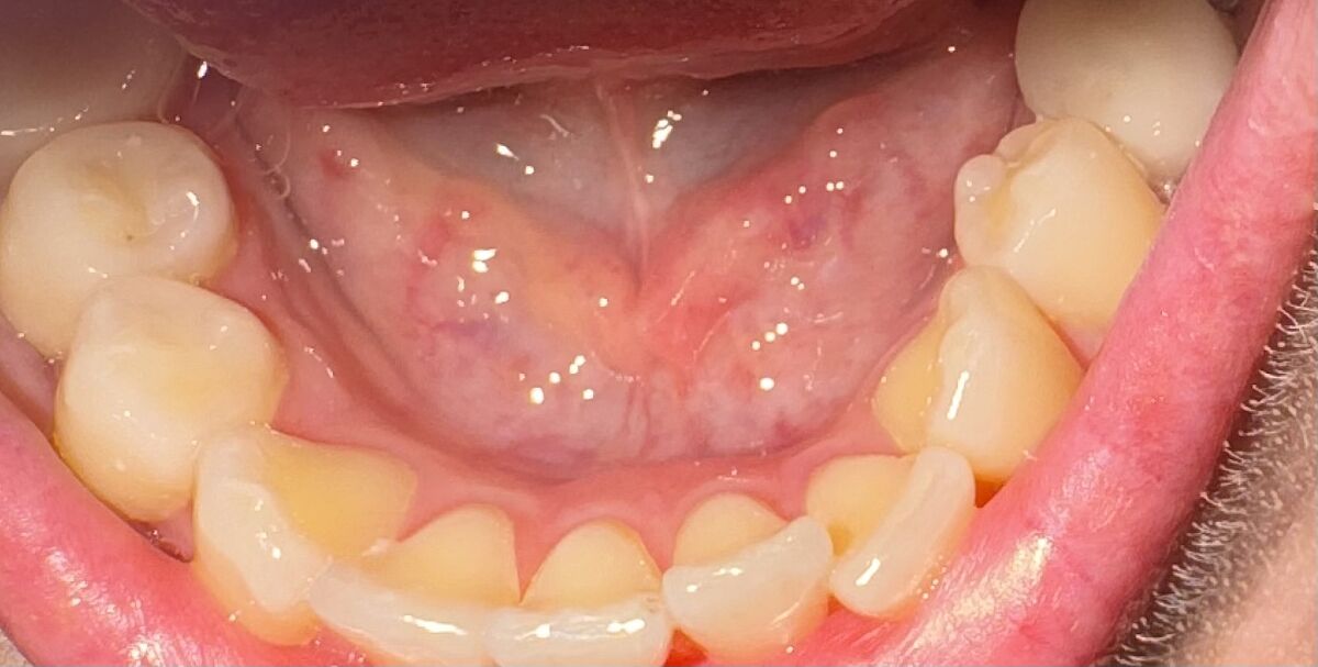
        Фото зубів- це є зубний камінь?
 1
                1
                
            
        
            
                 1
                1
                
            
        
                    Тишком нишком• 18 июля в 18:48 
                            
                            
                        
		Не потрібна вам професійна чистка. Доглядайте самі ретельно і цього достатньо.
	
 2
                2
                
            
        
            
                 4
                4
                
            
        
                    Угадайс• 18 июля в 19:39 
                            
                            
                        
		Похоже, вам делают чистки периодически. Отсюда повреждения эмали и налет. Это типичный случай, как раз, чтоб вы чаще бежали с деньгами в зубах в спасительные стоматологии. Камня нет, но благодатная почва есть.
	
 1
                1
                
            
        
            
                 1
                1
                
            
        
                    автор
			Дело было давно
		• 18 июля в 21:14 
                            
                            
                        
                        
                        Ответ дляСорока-ворона
                    
                                               
                        Наліт є. Це після щітки? Яка у вас?
                    
                
		Курапрокс
	
Мнения, изложенные в теме, передают взгляды авторов и не отражают позицию Kidstaff
            Тема закрыта
                Похожие темы:
Назад Комментарии к ответу
 
                             
                            