sovetchitsa
Советчица
Вход Регистрация
Спросить Советую Промо публикация Поиск товара
Настройки
Язык меню: ru ua Шрифт: a a a
Служба поддержки
Вход Регистрация
Правила | Ограничения | Cookies
©2008—2025 Советчица Kidstaff
Советчица - Здоровье и Красота - Болезни и лекарства
anonim_29
ЖонДуан• Изменено 12 августа в 22:17

Зайвий зуб

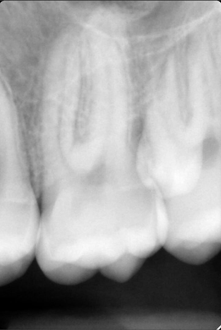
У дитини 14 років росте зайвий зуб. Біля верхньої шістки на піднебінні. Лікарі радять видаляти. Поділіться досвідом, хто видаляв, як пройшло і чи довго загоювалось?
Бо місце таке собі(
attached-photo
crying_face 2
23 0
Все фото темыКомментарии автораМои ответы
anonim_103
Вилами по воде• 12 августа в 22:18
1
Видаляйте. Обезболять і нічого не відчує
anonim_3
Пацаааааааан• 12 августа в 22:19
2
вряд ли тут поможет чей-то опыт. снимок делали? у него полноценный корень? кривой или ровный?
anonim_29
автор ЖонДуан • 12 августа в 22:20
3
Ответ дляПацаааааааан
вряд ли тут поможет чей-то опыт. снимок делали? у него полноценный корень? кривой или ровный?
attached-photo
noavatar
ЛЮБА• 12 августа в 22:20
4
Делали снимок челюсти , что бы не было общего корня или еще каки то проблем , врач дал добро , зуб удалил врач , прикус встал на место , все ок
anonim_20
Блакитна устриця• 12 августа в 22:21
5
У меня были 4 сверхкомплекта между 7 и 8. Один сам выпал, другие удаляли вместе с 8-ми, по мере необходимости. Обычное удаление
anonim_3
Пацаааааааан• 12 августа в 22:21
6
Ответ дляЖонДуан
фото
я не врач, но выглядит не очень, удаляйте. поболит пару дней, неприятно, но не смертельно. лучше так, чем потом он вам проблем наделает
anonim_29
автор ЖонДуан • 12 августа в 22:21
7
Ответ дляЛЮБА
Делали снимок челюсти , что бы не было общего корня или еще каки то проблем , врач дал добро , зуб удалил врач , прикус встал на место , все ок
У нас з прикусом все ок. Просто оце чудо помітили, що вилізло
noavatar
ЛЮБА• 12 августа в 22:23
8
Ответ дляЖонДуан
У нас з прикусом все ок. Просто оце чудо помітили, що вилізло
Сразу то же было все ок , но когда нормально вырос то передние зубы на нижней челюсти вышли вперед , после удаления в течении месяца все восстановилось
anonim_29
автор ЖонДуан • 12 августа в 22:25
9
Ответ дляЛЮБА
Делали снимок челюсти , что бы не было общего корня или еще каки то проблем , врач дал добро , зуб удалил врач , прикус встал на место , все ок
А де він у вас був? Видаляли під місцевою анестезією? Боляче не було?
noavatar
ЛЮБА• 12 августа в 22:29
10
Ответ дляЖонДуан
А де він у вас був? Видаляли під місцевою анестезією? Боляче не було?
Нижняя челюсть за первыми передними зубами , сыну сделали снимок , удаляли под местным наркозом естественно , взрослый же , тогда сыну 9 лет было. Все нормально было , терпимо .
anonim_29
автор ЖонДуан • 12 августа в 22:31
11
Ответ дляЛЮБА
Нижняя челюсть за первыми передними зубами , сыну сделали снимок , удаляли под местным наркозом естественно , взрослый же , тогда сыну 9 лет было. Все нормально было , терпимо .
Дякую. Надіюсь, що і в нас добре пройде.
noavatar
ЛЮБА• 12 августа в 22:32
12
Ответ дляЖонДуан
Дякую. Надіюсь, що і в нас добре пройде.
Та у вас взрослый дядько , почему должно быть плохо
anonim_29
автор ЖонДуан • 12 августа в 22:34
13
Ответ дляЛЮБА
Та у вас взрослый дядько , почему должно быть плохо
Переживаю, щоб саме видалення пройшло нормально. Зуб тільки почав прорізуватися. Не уявляю як його без болю можна видалити(
noavatar
ЛЮБА• 12 августа в 22:39
14
Ответ дляЖонДуан
Переживаю, щоб саме видалення пройшло нормально. Зуб тільки почав прорізуватися. Не уявляю як його без болю можна видалити(
Я пропустила , хорошо что зубы встали на место , а то пришлось бы ставить как минимум пластину .
так что все нормально пройдет , ну или ждите когда вырастит и надейтесь что не будет деформации прикуса . Ну взрослый же парень , потерпит , через пару часов попустит .
anonim_29
автор ЖонДуан • 12 августа в 22:42
15
Ответ дляЛЮБА
Я пропустила , хорошо что зубы встали на место , а то пришлось бы ставить как минимум пластину .
так что все нормально пройдет , ну или ждите когда вырастит и надейтесь что не будет деформации прикуса . Ну взрослый же парень , потерпит , через пару часов попустит .
Парень, то потерпит😁 тут больше мать в истерике бьется🤦‍♀️😂
noavatar
сладкий_ноябрь• 12 августа в 22:45
16
А знімок робили?
noavatar
ЛЮБА• 12 августа в 22:46
17
Ответ дляЖонДуан
Парень, то потерпит😁 тут больше мать в истерике бьется🤦‍♀️😂
Матери коньяка в чай ( можно и без чая ), ну и хорошего врача найти , нам случайно посоветовали хирурга , что бы у него руки не болели , один больной молочный зуб удалил , через 5 дней лишний удалил , дольше ждал когда наркоз подействует )))
anonim_211
НеВРотик• 12 августа в 23:04
18
Ответ дляЖонДуан
Переживаю, щоб саме видалення пройшло нормально. Зуб тільки почав прорізуватися. Не уявляю як його без болю можна видалити(
Зараз такі анестетики - що ніякого болю, тільки бажано зробити проби на алергію.
anonim_179
Заюшка_хозяюшка• 12 августа в 23:53
19
У сестри кілька разів прорізувалися зайві зуби. Видаляли. Питання не по темі: гарно зробили дитині герметизацію, як давно, переробляли чи міцно тримається?
Дякую!
anonim_81
Доль Чекомбана• 13 августа в 00:44
20
Ответ дляЖонДуан
Дякую. Надіюсь, що і в нас добре пройде.
Краще зробити КТ, а не рентген
like 1
anonim_81
Доль Чекомбана• 13 августа в 00:46
21
Ответ дляЖонДуан
Парень, то потерпит😁 тут больше мать в истерике бьется🤦‍♀️😂
Та не переживайте. Хірург його дістане. Треба буде, зробить невеликий надріз, щоб до шийки зуба дістатись і накласти щічки щипців. Потім акуратно зашиє. Все буде добре. Це не щось надто складне
anonim_79
Околовита• 13 августа в 02:27
22
У Фредди Меркюри были лишние зубы. И ничего, не парился.
anonim_29
автор ЖонДуан • 13 августа в 08:01
23
Ответ дляЗаюшка_хозяюшка
У сестри кілька разів прорізувалися зайві зуби. Видаляли. Питання не по темі: гарно зробили дитині герметизацію, як давно, переробляли чи міцно тримається?
Дякую!
Робили дуже давно. Приблизно біля 7-8 років тому.
Мнения, изложенные в теме, передают взгляды авторов и не отражают позицию Kidstaff
Тема закрыта

Похожие темы:

Ще з цiкавого


Популярные вопросы!

Сегодня Вчера 7 дней 30 дней

ещё

Сейчас читают!

Назад Комментарии к ответу

О нас | Служба Поддержки | Помощь

Правила | Ограничения | Cookies ©2008—2025 Советчица Kidstaff