Милашка-оторвашка• 04 ноября 2020
Вопрос ветеринарам по рентг. снимку собаки
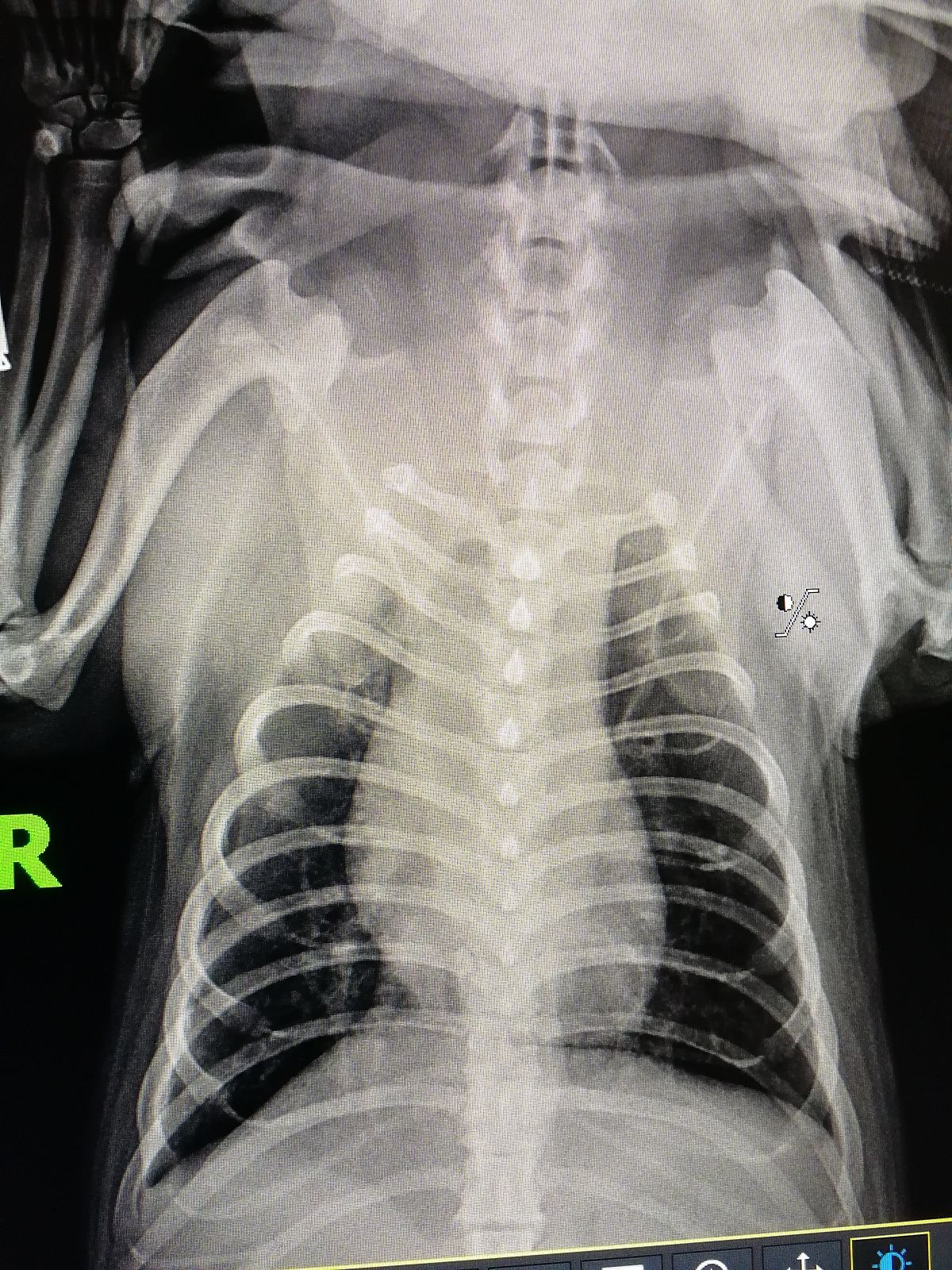
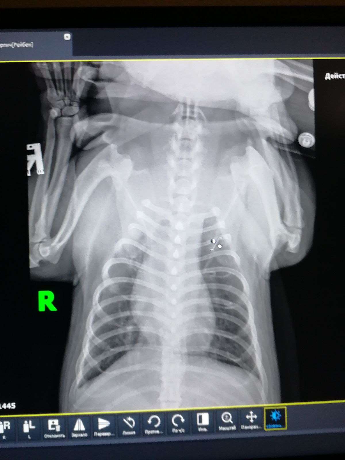
Доброе утро.
Собака простужена, более 2х недель кашель. Вялый.
Подскажите, пожалуйста, на снимке Вы видете воспаление?
Заранее спасибо!!
Собака простужена, более 2х недель кашель. Вялый.
Подскажите, пожалуйста, на снимке Вы видете воспаление?
Заранее спасибо!!
Маргарита и Мастер• 04 ноября 2020
Я не разбираюсь в этом, но если вас смущает сходите ещё к одному вету или выложите на форуме ( есть бесплатные консультации) в инете
автор
Милашка-оторвашка
• 04 ноября 2020
Ответ дляМаргарита и Мастер
Я не разбираюсь в этом, но если вас смущает сходите ещё к одному вету или выложите на форуме ( есть бесплатные консультации) в инете
Девочки, уже третья клиника и разные ответы...Пишу и слезы на глазах, когда смотрю на его состояние
автор
Милашка-оторвашка
• 04 ноября 2020
Спасибо, за подсказку - начинаю искать профильный форум. О форумах для людей знаю, ликар инфо. Для собак и не слышала
Маргарита и Мастер• 04 ноября 2020
Ответ дляМилашка-оторвашка
Девочки, уже третья клиника и разные ответы...Пишу и слезы на глазах, когда смотрю на его состояние
Лечение вам назначили? Что то делаете?
автор
Милашка-оторвашка
• 04 ноября 2020
Ответ дляМаргарита и Мастер
Лечение вам назначили? Что то делаете?
пьет сироп от кашля ( синекод- 3р/д по 2 мл)
повторно сдана кровь...
Сегодня сказали, что похоже на новообразование....Плачу...
повторно сдана кровь...
Сегодня сказали, что похоже на новообразование....Плачу...

Маргарита и Мастер• 04 ноября 2020
Ответ дляМилашка-оторвашка
пьет сироп от кашля ( синекод- 3р/д по 2 мл)
повторно сдана кровь...
Сегодня сказали, что похоже на новообразование....Плачу...
повторно сдана кровь...
Сегодня сказали, что похоже на новообразование....Плачу...

Регистрируйтесь, там раздел здоровье, заводите тему.
Ищите похожие форумы и консультируйтесь, может врача толкового подскажут
автор
Милашка-оторвашка
• 04 ноября 2020
Ответ дляМаргарита и Мастер
Регистрируйтесь, там раздел здоровье, заводите тему.
Ищите похожие форумы и консультируйтесь, может врача толкового подскажут
Милый человек, большое Вам спасибо!!!!!!!
Маргарита и Мастер• 04 ноября 2020
Ответ дляМилашка-оторвашка
Милый человек, большое Вам спасибо!!!!!!!
Не за что, тоже приходилось бегать по врачам
Маргарита и Мастер• 04 ноября 2020
Смотрите есть ещё такие https://zoo-dom.com.ua/forum/viewforum.php?f=9
Марафетчица• 04 ноября 2020
Ответ дляМилашка-оторвашка
Милый человек, большое Вам спасибо!!!!!!!
Пожалуйста... подскажите какой тип рентгена вы делали? Снимки или цифровой ? мне нудно сделать тоже такие что бы пересылать. не знаю как((( спасибо.
Маргарита и Мастер• 04 ноября 2020
автор
Милашка-оторвашка
• 04 ноября 2020
Ответ дляМарафетчица
Пожалуйста... подскажите какой тип рентгена вы делали? Снимки или цифровой ? мне нудно сделать тоже такие что бы пересылать. не знаю как((( спасибо.
цифровой в двух проэкциях
Маргарита и Мастер• 04 ноября 2020
Ответ дляМарафетчица
Пожалуйста... подскажите какой тип рентгена вы делали? Снимки или цифровой ? мне нудно сделать тоже такие что бы пересылать. не знаю как((( спасибо.
Мы не делали снимки, у нас другие проблемы были
Марафетчица• 04 ноября 2020
Ответ дляМилашка-оторвашка
цифровой в двух проэкциях
А как вы сохранили картинку?
Маргарита и Мастер• 04 ноября 2020
Ответ дляМарафетчица
Пожалуйста... подскажите какой тип рентгена вы делали? Снимки или цифровой ? мне нудно сделать тоже такие что бы пересылать. не знаю как((( спасибо.
У меня муж, вроде на облаке держал все фото, потом только ссылку давал. Я не разбираюсь в этом. Создайте новую тему, может девочки здесь подскажут, куда вынести доки и фото, чтоб могли их смотреть с разных мест
Марафетчица• 04 ноября 2020
Ответ дляМаргарита и Мастер
У меня муж, вроде на облаке держал все фото, потом только ссылку давал. Я не разбираюсь в этом. Создайте новую тему, может девочки здесь подскажут, куда вынести доки и фото, чтоб могли их смотреть с разных мест
Спасибо
автор
Милашка-оторвашка
• 04 ноября 2020
Ответ дляМарафетчица
А как вы сохранили картинку?
они прислали на электронку и сфоткала на телефон
Маргарита и Мастер• 04 ноября 2020
Смотрите, что подсказал! Надо скачать программу ( фото )
Что можно делать с помощью Google Диска:
• безопасно хранить файлы и открывать их на любом устройстве;
• быстро находить недавно открытые и важные файлы;
• искать файлы по названию и содержанию;
• делиться файлами и папками, а также задавать настройки доступа к ним;
• просматривать свой контент в офлайн-режиме;
• получать уведомления о важных действиях с файлами;
• сканировать бумажные документы, используя камеру устройства.
Что можно делать с помощью Google Диска:
• безопасно хранить файлы и открывать их на любом устройстве;
• быстро находить недавно открытые и важные файлы;
• искать файлы по названию и содержанию;
• делиться файлами и папками, а также задавать настройки доступа к ним;
• просматривать свой контент в офлайн-режиме;
• получать уведомления о важных действиях с файлами;
• сканировать бумажные документы, используя камеру устройства.
Детектор лжи• 04 ноября 2020
задайте свой вопрос на фейсбуке - там есть группа врачей ветеринаров и не одна, там точно ответ получите не от одного ветеринара
автор
Милашка-оторвашка
• 04 ноября 2020
Ответ дляДетектор лжи
Спасибо большое!
anastasiaproz• 04 ноября 2020
У моей собаки был кашель только начинался было три днякак кашлял, ветеринар посоветовала (почитайте инструкцию): антибиотик амоксицилін 1 мл. на 10 кг вколоти два рази з інтервалом 48 годин. + поганяти глисти : енваєр 1 таб на 10 кг.
Пушка заряжённая• 04 ноября 2020
У моей собаки было подобное, поставили диагноз плеврит , сказали не жилец, пошла к другим ветам оказалась пневмония, лечили антибиотиками
Мнения, изложенные в теме, передают взгляды авторов и не отражают позицию Kidstaff
Тема закрыта
Похожие темы:
Назад Комментарии к ответу