Водійка хімарса• 02 марта в 20:19
Реставрация зубов...подскажите!!
Дочке 16 лет.. сейчас донашивает пластину для выравнивания зубов, потом планируем реставрацию...
Только смущает то, что зубы у дочки как быстро равняются, так и быстро смещаются назад после ношения пластины
Интересует - зафиксируются ли зубы в нормальном положении после реставрации
И нужно ли будет делать повторную реставрацию после определенного времени или эта процедура делается единожды?
Какая цена реставрации одного зуба в вашем городе?
Только смущает то, что зубы у дочки как быстро равняются, так и быстро смещаются назад после ношения пластины
Интересует - зафиксируются ли зубы в нормальном положении после реставрации
И нужно ли будет делать повторную реставрацию после определенного времени или эта процедура делается единожды?
Какая цена реставрации одного зуба в вашем городе?
Тушьмушьнюшь• 02 марта в 20:27
А что брекеты стёрли так сильно эмаль, что нужна реставрация? Или у вас другая проблема?
КинДза• 02 марта в 20:31
Ретейнер ставят сзади зубов . По этому не разойдутся.
Реставрация в среднем 2т зуб . Это как пломба сверху , 5 лет нормально будет , потом вид начнет терять .
Реставрация в среднем 2т зуб . Это как пломба сверху , 5 лет нормально будет , потом вид начнет терять .
Я_не_аноним_100%• 02 марта в 20:32
После брекетов сейчас фиксируют зубы шиной (проволокой с внутренней стороны).
У все знакомых, кто носил и не ставили шину разъехались зубы со временем.
Ну или нужно спать с пластиковыми капами.
У все знакомых, кто носил и не ставили шину разъехались зубы со временем.
Ну или нужно спать с пластиковыми капами.
автор
Водійка хімарса
• 02 марта в 20:33
Ответ дляЯ_не_аноним_100%
После брекетов сейчас фиксируют зубы шиной (проволокой с внутренней стороны).
У все знакомых, кто носил и не ставили шину разъехались зубы со временем.
Ну или нужно спать с пластиковыми капами.
У все знакомых, кто носил и не ставили шину разъехались зубы со временем.
Ну или нужно спать с пластиковыми капами.
капу после пластины надо ещё носить?
Я_не_аноним_100%• 02 марта в 20:34
Ответ дляВодійка хімарса
капу после пластины надо ещё носить?
Ортодонт скажет что лучше.
автор
Водійка хімарса
• 02 марта в 20:38
Ответ дляЯ_не_аноним_100%
Ортодонт скажет что лучше.
а сколько обычно «держится» реставрация?
Я_не_аноним_100%• 02 марта в 20:40
Ответ дляВодійка хімарса
а сколько обычно «держится» реставрация?
Не знаю. Я интересовалась только брекетами.
У родственников виниры, гарантия 10 лет. И действительно ровно через 10 лет отклеился винир, делали новый.
У родственников виниры, гарантия 10 лет. И действительно ровно через 10 лет отклеился винир, делали новый.
КинДза• 02 марта в 20:42
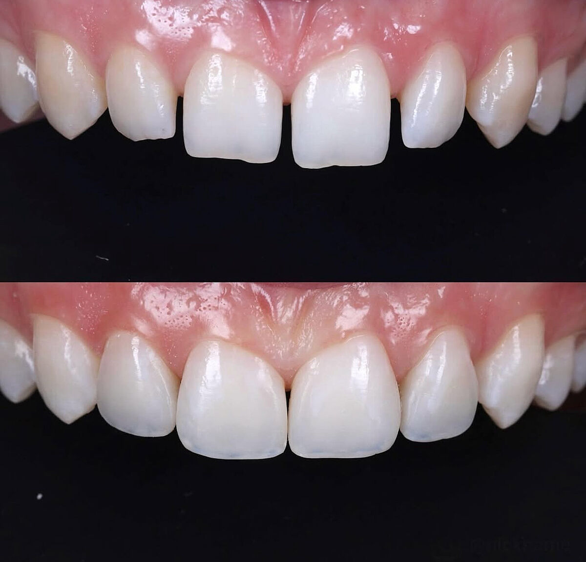
Вот работы . Минимально , без синих Зубов унитазов , максимально естественная форма и без подпила своих Зубов
1
КинДза• 02 марта в 20:44
Капу пластиковую на ночь можно носить после брекетов (но чаще в случае после реставрации . Потому что ретейнер не держится на винирах / реставрациях
автор
Водійка хімарса
• 02 марта в 21:02
Ответ дляКинДза
Вот работы . Минимально , без синих Зубов унитазов , максимально естественная форма и без подпила своих Зубов
у нас вот такая проблема(
1
КинДза• 02 марта в 21:10
Ответ дляВодійка хімарса
у нас вот такая проблема(
А навіщо брекети носили ? Вони сильно щось змінили ?
З реставрацією буде красуня ! Почати можна з простої реставрації а коли зробити керамічну
З реставрацією буде красуня ! Почати можна з простої реставрації а коли зробити керамічну
автор
Водійка хімарса
• 02 марта в 21:14
Ответ дляКинДза
А навіщо брекети носили ? Вони сильно щось змінили ?
З реставрацією буде красуня ! Почати можна з простої реставрації а коли зробити керамічну
З реставрацією буде красуня ! Почати можна з простої реставрації а коли зробити керамічну
я не писала про брекеты...
дочка носит зубную пластину сейчас
зубы быстро равняются, и так же быстро стают неровными снова после снятия ее
дочка носит зубную пластину сейчас
зубы быстро равняются, и так же быстро стают неровными снова после снятия ее
КинДза• 02 марта в 21:15
Ответ дляВодійка хімарса
у нас вот такая проблема(
Капець . Прочитала що це по причині надлишку фтору при формуванні емалі . Ви десь з колодці воду пили ? Цікаво прям
1
КинДза• 02 марта в 21:17
Ответ дляВодійка хімарса
я не писала про брекеты...
дочка носит зубную пластину сейчас
зубы быстро равняются, и так же быстро стают неровными снова после снятия ее
дочка носит зубную пластину сейчас
зубы быстро равняются, и так же быстро стают неровными снова после снятия ее
Аа , тоді це нормально . В такому випадку можна зробити краще елайнер , який завжди допоможе зубам залишатися у правильній формі . Ціна десь 2т . Носити вночі . Ретейнер теж як варіант , але пізніше коли зуби будуть зберігати довгий час свою форму
автор
Водійка хімарса
• 02 марта в 21:21
Ответ дляКинДза
Аа , тоді це нормально . В такому випадку можна зробити краще елайнер , який завжди допоможе зубам залишатися у правильній формі . Ціна десь 2т . Носити вночі . Ретейнер теж як варіант , але пізніше коли зуби будуть зберігати довгий час свою форму
це після реставрації?
1
Зубная фея• 02 марта в 21:27
Ответ дляЯ_не_аноним_100%
После брекетов сейчас фиксируют зубы шиной (проволокой с внутренней стороны).
У все знакомых, кто носил и не ставили шину разъехались зубы со временем.
Ну или нужно спать с пластиковыми капами.
У все знакомых, кто носил и не ставили шину разъехались зубы со временем.
Ну или нужно спать с пластиковыми капами.
Это я в 20 лет носила брекеты и сейча в 40 одела(
Зубная фея• 02 марта в 21:28
Ответ дляВодійка хімарса
капу после пластины надо ещё носить?
Лучше ретейнеры, у меня с капой со временем все поехало
Зубная фея• 02 марта в 21:29
Ответ дляВодійка хімарса
у нас вот такая проблема(
Так вам еще носить систему нужно, наверное брекеты, в 16 лет пластина уже не нужна, вам верхние зубы еще ровнять опускать
автор
Водійка хімарса
• 02 марта в 21:30
девочки, мне бы сейчас с процедурой реставрации разобраться
Зубная фея• 02 марта в 21:30
Ответ дляВодійка хімарса
я не писала про брекеты...
дочка носит зубную пластину сейчас
зубы быстро равняются, и так же быстро стают неровными снова после снятия ее
дочка носит зубную пластину сейчас
зубы быстро равняются, и так же быстро стают неровными снова после снятия ее
У вас не ровные зубы, нужны брекеты
автор
Водійка хімарса
• 02 марта в 21:32
Ответ дляКинДза
Капець . Прочитала що це по причині надлишку фтору при формуванні емалі . Ви десь з колодці воду пили ? Цікаво прям
нет, конечно- обычная водопроводная
пьём из фильтра
причём, в другой дочки и меня- все ок
пьём из фильтра
причём, в другой дочки и меня- все ок
КинДза• 02 марта в 21:32
Ответ дляВодійка хімарса
нет, конечно- обычная водопроводная
пьём из фильтра
причём, в другой дочки и меня- все ок
пьём из фильтра
причём, в другой дочки и меня- все ок
А в чем причина ? Как думаете
1
Зубная фея• 02 марта в 21:36
Ответ дляВодійка хімарса
девочки, мне бы сейчас с процедурой реставрации разобраться
Нам нужно брекеты ей одеть, а потом реставрация, вы хотите реставрацию а потом брекеты, пластина только до 12 лет носится дальше только брекеты
Зубная фея• 02 марта в 21:38
Ответ дляВодійка хімарса
у нас вот такая проблема(
Реставрация у меня на переднем зубе, но сейчас перед брекетами ее спилили чуть, автор ребенку необходимы бреке система двойки и тройки сверху не так как нужно
Зубная фея• 02 марта в 21:39
Они смещаются потому что они скупчены нужны брекеты для того что бы их нормально расположить
Из Виа-гры• 02 марта в 22:15
Ответ дляВодійка хімарса
нет, конечно- обычная водопроводная
пьём из фильтра
причём, в другой дочки и меня- все ок
пьём из фильтра
причём, в другой дочки и меня- все ок
так а откуда фтор?, пасты такие покупали?
автор
Водійка хімарса
• 02 марта в 22:37
Ответ дляКинДза
А в чем причина ? Как думаете
🤷♀️
чистим пастой, которую стоматолог рекомендует, с активным биокальцием
чистим пастой, которую стоматолог рекомендует, с активным биокальцием
автор
Водійка хімарса
• 02 марта в 22:38
Ответ дляЗубная фея
Нам нужно брекеты ей одеть, а потом реставрация, вы хотите реставрацию а потом брекеты, пластина только до 12 лет носится дальше только брекеты
мы же не сами придумали ее носить- рекомендация ортодонта.
Директор Пляжу• 02 марта в 23:27
Ответ дляВодійка хімарса
у нас вот такая проблема(
А что это за пятна?
Мнения, изложенные в теме, передают взгляды авторов и не отражают позицию Kidstaff
Тема закрыта
Похожие темы:
Назад Комментарии к ответу