sovetchitsa
Советчица
Вход Регистрация
Спросить Советую Промо публикация Поиск товара
Настройки
Язык меню: ru ua Шрифт: a a a
Служба поддержки
Вход Регистрация
Правила | Ограничения | Cookies
©2008—2025 Советчица Kidstaff
Советчица - Здоровье и Красота - Детское здоровье
anonim_123
Розумна Губка• 29 января в 06:48

Флюс в дитини 5 років

Були вчора ввечері в стоматолога, зробили рентген, зуб на видалення, один корінь вже розсмоктався, сказала, що вже утворилася нориця, назначила полоскання і все. Через три тижні прийти подивитися, чи розсмоктався інший, зуб розхитувати, дитина дуже сильно боїться стоматолога, є вірогідність, що зуб випаде сам. Хтось дотримувався такої тактики, чи краще іти під наркозом видаляти ( уточною, що температура немає, зуб не болить)
42 0
Все фото темыКомментарии автораМои ответы
  • 1
  • 2
anonim_44
Начальник Анонимов• 29 января в 07:01
1
Мали таке. Дуже допомогло полоскання саме стоматидином. Вам шо назначили?
anonim_123
автор Розумна Губка • 29 января в 07:08
2
Ответ дляНачальник Анонимов
Мали таке. Дуже допомогло полоскання саме стоматидином. Вам шо назначили?
хлоргексидин, або будь-який антисептик, після полоскання гною не було?
anonim_44
Начальник Анонимов• 29 января в 07:11
3
Ответ дляРозумна Губка
хлоргексидин, або будь-який антисептик, після полоскання гною не було?
Ні. То так не замітно було. Що він виходить. Казала лікар, що гній є, набрало. Але я його очами не бачила. +Ясна масажувати.
anonim_213
Королева спама• 29 января в 07:14
4
Не хочу лякати, але в нас закінчилось операціей під загальним наркозом, і потім ще 2 місяці йодній бінт їздили міняли.
crying_face 5
anonim_123
автор Розумна Губка • 29 января в 07:16
5
Ответ дляКоролева спама
Не хочу лякати, але в нас закінчилось операціей під загальним наркозом, і потім ще 2 місяці йодній бінт їздили міняли.
Так само була нориця? Чи напухла щока? Бо стоматолог говорить, що то зовсім різні речі. Я чомусь теж дуже хвилююсь і думаю під седацією видалити
anonim_20
Біток чи ефір?• 29 января в 07:29
6
Да, корни рассосались.флюс выполаскивали.
Зуб выпал естественным образом( при смене молочных)
anonim_123
автор Розумна Губка • 29 января в 07:34
7
Ответ дляБіток чи ефір?
Да, корни рассосались.флюс выполаскивали.
Зуб выпал естественным образом( при смене молочных)
Довго дитина ходила з норицею? І скільки років на момент флюсу? Бо я начиталась наскільки флюс небезпечний
anonim_70
Отжигающая• 29 января в 07:42
8
Флюсы на молочных зубах, это не то же самое что у взрослых. У старшего ребенка были постоянно, пока не сменились зубы. Показывались стоматологу, полоскали. Всегда говорили не трогать, если не воспален и не болит. Ни разу не чистили.
heart 1
anonim_123
автор Розумна Губка • 29 января в 07:49
9
Ответ дляОтжигающая
Флюсы на молочных зубах, это не то же самое что у взрослых. У старшего ребенка были постоянно, пока не сменились зубы. Показывались стоматологу, полоскали. Всегда говорили не трогать, если не воспален и не болит. Ни разу не чистили.
Дуже дякую, ви мене трохи заспокоїли, стоматолог теж вважає, що то через зміну зубів. Головне, щоб щока не напухла❤️
anonim_172
Пустощі-веселощі• 29 января в 07:50
10
Ми видаляли зуб і поставили тримач місця. Також у 5 років
anonim_123
автор Розумна Губка • 29 января в 07:51
11
Ответ дляПустощі-веселощі
Ми видаляли зуб і поставили тримач місця. Також у 5 років
Під місцевою анастезією? Чи седацією?
anonim_213
Королева спама• 29 января в 07:56
12
Ответ дляРозумна Губка
Так само була нориця? Чи напухла щока? Бо стоматолог говорить, що то зовсім різні речі. Я чомусь теж дуже хвилююсь і думаю під седацією видалити
Напухла щока. Лікар сказала що вскрила зуб, пломбу отковиряла, але набряк збільшувался і на ніч ми поїхали в лікарню, і там такий фінал
crying_face 1
anonim_123
автор Розумна Губка • 29 января в 07:57
13
Ответ дляКоролева спама
Напухла щока. Лікар сказала що вскрила зуб, пломбу отковиряла, але набряк збільшувался і на ніч ми поїхали в лікарню, і там такий фінал
Зрозуміла, теж стоматолог уточнювала, що якщо напухне щока, то відразу на видалення
anonim_110
Рассказница• 29 января в 08:00
14
У доньки було так двічі, саме нориця, гній виходив, полоскали сода/сіль, зуби випали самі, набряку/болю не було.
like 1
anonim_169
Парасюха• 29 января в 08:48
15
Шукайте іншого стоматолога. В 5 років зуб ніяк не випаде, а ця інфекція зруйнує вам зачаток постійного зуба.
like 1
anonim_128
Петриківна• 29 января в 08:54
16
Ответ дляПарасюха
Шукайте іншого стоматолога. В 5 років зуб ніяк не випаде, а ця інфекція зруйнує вам зачаток постійного зуба.
Те саме казали, вирвали та й усе, ще в 3 чи 4 роки. Без седації, лікар чимось помастив і все. В звичайній дитячій зубній поліклініці, але лікар дійсно той що по вириванню зубів і робить швидко що дитина й не помітить.
anonim_169
Парасюха• 29 января в 08:57
17
Ответ дляПетриківна
Те саме казали, вирвали та й усе, ще в 3 чи 4 роки. Без седації, лікар чимось помастив і все. В звичайній дитячій зубній поліклініці, але лікар дійсно той що по вириванню зубів і робить швидко що дитина й не помітить.
Без анестезії не видалять, якщо це жувальний зуб. Там один корінь розмоктався, а інші ще великі. Але залишати інфекцію в роті на місяці не варто.
anonim_123
автор Розумна Губка • 29 января в 08:57
18
Ответ дляПарасюха
Шукайте іншого стоматолога. В 5 років зуб ніяк не випаде, а ця інфекція зруйнує вам зачаток постійного зуба.
В зубі один корінь дуже довгий, просто так не вирвати, тільки під наркозом, або чекати поки корінь хоч трохи розсмокчеться, кожен місяць огляд
anonim_128
Петриківна• 29 января в 08:58
19
Ответ дляПарасюха
Без анестезії не видалять, якщо це жувальний зуб. Там один корінь розмоктався, а інші ще великі. Але залишати інфекцію в роті на місяці не варто.
Видалили тоді, до речі, флюс тоді був після невдалого лікування у розпіареній стоматології(
anonim_169
Парасюха• 29 января в 09:00
20
Ответ дляРозумна Губка
В зубі один корінь дуже довгий, просто так не вирвати, тільки під наркозом, або чекати поки корінь хоч трохи розсмокчеться, кожен місяць огляд
Згімок у вас є, покажіть.
anonim_123
автор Розумна Губка • 29 января в 09:04
21
Ответ дляПарасюха
Згімок у вас є, покажіть.
Дитина тиждень тому сказала, що їй не комфортно їсти на зуб 4, пішли до стоматолога, вона зробила знімок зуба, сказала на видалення, бо один корінь вже розсмоктався, а інший ще є, зробили анастезією дитині почали рвати, боляче, докололи ще, боляче, ще потім пробували його розхитати, теж ніяк, після цього дитина не дала рвати. На наступний день пішли до іншого стоматолога і вона це вже сказала. Зараз стоматолог скине знімок
anonim_169
Парасюха• 29 января в 09:27
22
Ответ дляРозумна Губка
Дитина тиждень тому сказала, що їй не комфортно їсти на зуб 4, пішли до стоматолога, вона зробила знімок зуба, сказала на видалення, бо один корінь вже розсмоктався, а інший ще є, зробили анастезією дитині почали рвати, боляче, докололи ще, боляче, ще потім пробували його розхитати, теж ніяк, після цього дитина не дала рвати. На наступний день пішли до іншого стоматолога і вона це вже сказала. Зараз стоматолог скине знімок
Тоді почекаю знімок. Головне, щоб кортикальна пластинка постійного зуба не була порушена
like 2
anonim_123
автор Розумна Губка • 29 января в 09:27
23
Ответ дляПарасюха
Тоді почекаю знімок. Головне, щоб кортикальна пластинка постійного зуба не була порушена
Дякую, лікар звільниться і скине
anonim_102
Вмію заміряти найкраще• 29 января в 09:35
24
я би видаляла, спробуйте під газом, там 5 хв роботи
anonim_123
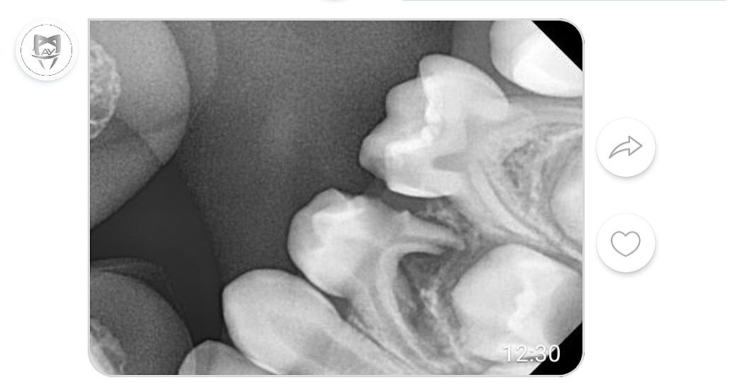
автор Розумна Губка • 29 января в 12:33
25
Ответ дляПарасюха
Тоді почекаю знімок. Головне, щоб кортикальна пластинка постійного зуба не була порушена
Так видно? прийшлося з вайбера скріншот зробити, бо електроенергію вимкнули, інтернет поганий. Дуже Вам дякую
attached-photo
anonim_169
Парасюха• 29 января в 14:44
26
Ответ дляРозумна Губка
Так видно? прийшлося з вайбера скріншот зробити, бо електроенергію вимкнули, інтернет поганий. Дуже Вам дякую
Видно. Інший корінь довгий і він не розсмокчеться ні через місяць ні через рік. Полоскання нічого не дасть, зуб іде на видалення. Запальний процес може зруйнувати захисну оболонку цього зуба. Знеболити його важкувато, бо інший корінь ще довгий. Треба робити провідникову анестезію при якій замерзає півщоки і пів язика. Плюс ще глибокий карієс в сусідньому п ятому зубі. Враховуючи, що дитина налякана і всього 5 рокіі, то варіантів 2
1. Пробувати під маскою ЗАКС гарно знеболити і пооікувати 5 і видалити 4 в один візит. Потім обов язково утримувач місця.
2. Зробити знімки всіх зубів, виявити всі проблеми і йти в наркоз, теж потім обов язково утримувач місця.
anonim_123
автор Розумна Губка • 29 января в 14:49
27
Ответ дляПарасюха
Видно. Інший корінь довгий і він не розсмокчеться ні через місяць ні через рік. Полоскання нічого не дасть, зуб іде на видалення. Запальний процес може зруйнувати захисну оболонку цього зуба. Знеболити його важкувато, бо інший корінь ще довгий. Треба робити провідникову анестезію при якій замерзає півщоки і пів язика. Плюс ще глибокий карієс в сусідньому п ятому зубі. Враховуючи, що дитина налякана і всього 5 рокіі, то варіантів 2
1. Пробувати під маскою ЗАКС гарно знеболити і пооікувати 5 і видалити 4 в один візит. Потім обов язково утримувач місця.
2. Зробити знімки всіх зубів, виявити всі проблеми і йти в наркоз, теж потім обов язково утримувач місця.
Дякую, зрозуміла, записуюсь на ЗАКС але аж на березень.
anonim_169
Парасюха• 29 января в 14:54
28
Ответ дляРозумна Губка
Дякую, зрозуміла, записуюсь на ЗАКС але аж на березень.
Ви в якому місті?
anonim_123
автор Розумна Губка • 29 января в 15:02
29
Ответ дляПарасюха
Ви в якому місті?
Біля Ковеля
anonim_169
Парасюха• 29 января в 15:04
30
Ответ дляРозумна Губка
Біля Ковеля
Зрозуміло. Там нікого не знаю на жаль.
  • 1
  • 2
Мнения, изложенные в теме, передают взгляды авторов и не отражают позицию Kidstaff
Тема закрыта

Похожие темы:

Ще з цiкавого


Популярные вопросы!

Сегодня Вчера 7 дней 30 дней

ещё

Сейчас читают!

Благотворительность!

Назад Комментарии к ответу

О нас | Служба Поддержки | Помощь

Правила | Ограничения | Cookies ©2008—2025 Советчица Kidstaff