sovetchitsa
Советчица
Вход Регистрация
Спросить Советую Промо публикация Поиск товара
Настройки
Язык меню: ru ua Шрифт: a a a
Служба поддержки
Вход Регистрация
Правила | Ограничения | Cookies
©2008—2025 Советчица Kidstaff
Советчица - Здоровье и Красота - Детское здоровье
anonim_73
энциклопУдия• 18 января в 18:01

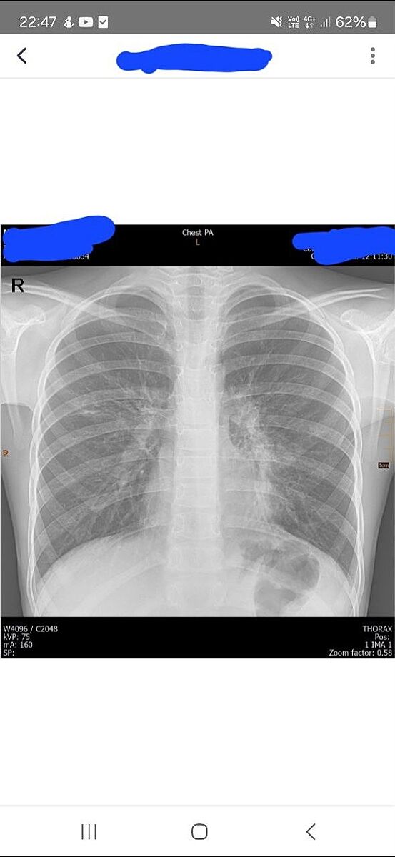
Рентген легень. Чи є пневмонія?

Висока температура у дитини, погано збивається. мокрий кашель. Лікар казала, що прослухати нічого підозрілого не може. Зробили сьогодні. Чи може хтось сказати, чи є на рентгені щось підозріле?
attached-photo
dislike 1 woman_facepalming 3
23 0
Все фото темыКомментарии автораМои ответы
anonim_155
Простоваля• 18 января в 18:03
1
Справа, это что?
Внизу
woman_facepalming 3
anonim_73
автор энциклопУдия • 18 января в 18:04
2
Ответ дляПростоваля
Справа, это что?
Внизу
я так розумію, це ліва сторона і серце. але я не дуже в цьому тямлю))
woman_facepalming 1
anonim_155
Простоваля• 18 января в 18:05
3
Ответ дляэнциклопУдия
я так розумію, це ліва сторона і серце. але я не дуже в цьому тямлю))
Я тоже. Подождем докторов
anonim_37
Ms. Iphone• 18 января в 18:05
4
Автор, пневмонія - це серйозно. Я сама тільки тиждень тому вийшла з лікарняного.
І в думках не було задавати таке питання на форумі.

Не розумію я таких, як ви.
like 5
anonim_73
автор энциклопУдия • 18 января в 18:07
5
Ответ дляMs. Iphone
Автор, пневмонія - це серйозно. Я сама тільки тиждень тому вийшла з лікарняного.
І в думках не було задавати таке питання на форумі.

Не розумію я таких, як ви.
лікарці вже відправила результат. чекаю, що напише. якщо пневмонія, то звісно поїдемо в лікарню
anonim_93
Мовчу, але хочу• 18 января в 18:07
6
Запис до лікаря на завтра?
anonim_37
Ms. Iphone• 18 января в 18:11
7
Ответ дляэнциклопУдия
лікарці вже відправила результат. чекаю, що напише. якщо пневмонія, то звісно поїдемо в лікарню
Так навіщо тут запитувати?
Лікарю не довіряєте?

Автор, ви прочитайте перший коментар.
Невже ви не розумієте, що вам можуть написати невідомо що?!
anonim_73
автор энциклопУдия • 18 января в 18:12
8
Ответ дляMs. Iphone
Так навіщо тут запитувати?
Лікарю не довіряєте?

Автор, ви прочитайте перший коментар.
Невже ви не розумієте, що вам можуть написати невідомо що?!
просто подумала, що тут швидше відпишуть. бо лікарка щось довго не відписує
woman_facepalming 2
anonim_37
Ms. Iphone• 18 января в 18:13
9
Ответ дляэнциклопУдия
просто подумала, що тут швидше відпишуть. бо лікарка щось довго не відписує
У вашого лікаря вже може бути неробочий час. Але, якщо вона пообіцяла вам, то має написати.
anonim_73
автор энциклопУдия • 18 января в 18:13
10
Ответ дляMs. Iphone
У вашого лікаря вже може бути неробочий час. Але, якщо вона пообіцяла вам, то має написати.
так. обіцяла бути на звʼязку. тому чекаю
anonim_93
Всім шампаньського• 18 января в 18:20
11
Немає запалення
anonim_73
автор энциклопУдия • 18 января в 18:20
12
Ответ дляВсім шампаньського
Немає запалення
ви лікар?
anonim_93
Всім шампаньського• 18 января в 18:21
13
Ответ дляэнциклопУдия
ви лікар?
Ні. Але на рентгені пневмонія виглядає як затемнення певних частин, такі темні плями. У вас легені чисті на знімку
anonim_61
Как_б_не_так• 18 января в 19:08
14
Я не врач. Но с детства болею бронхитами, пневмонией и рентгенов я видела очень много.
Я вижу, что на рентгене легкие чистые.
woman_facepalming 1
noavatar
Bransoletka• 18 января в 20:06
15
А чому рентгенолог опис не робив?
anonim_73
автор энциклопУдия • 18 января в 20:33
16
на жаль, лікар сказав, що пневмонія. ми вже в лікарні. тут і хрипи чують((
anonim_184
Ниф_ниф• 18 января в 21:55
17
Ответ дляВсім шампаньського
Ні. Але на рентгені пневмонія виглядає як затемнення певних частин, такі темні плями. У вас легені чисті на знімку
Пневмонія це білі плями, а не темні
like 1
anonim_73
автор энциклопУдия • 18 января в 22:07
18
Ответ дляКак_б_не_так
Я не врач. Но с детства болею бронхитами, пневмонией и рентгенов я видела очень много.
Я вижу, что на рентгене легкие чистые.
на жаль, там таки пневмонія
anonim_73
автор энциклопУдия • 18 января в 22:07
19
Ответ дляВсім шампаньського
Ні. Але на рентгені пневмонія виглядає як затемнення певних частин, такі темні плями. У вас легені чисті на знімку
на жаль, це таки пневмонія
noavatar
Bransoletka• 19 января в 10:20
20
Ответ дляэнциклопУдия
на жаль, там таки пневмонія
Швидкого одужання
Моя дитина двічі за свої 5 років хворіла на пневмонію. І двічі тільки рентген її показував.
Але мені дивно, що лікар-рентгенолог не робив опис
anonim_73
автор энциклопУдия • 19 января в 11:48
21
Ответ дляBransoletka
Швидкого одужання
Моя дитина двічі за свої 5 років хворіла на пневмонію. І двічі тільки рентген її показував.
Але мені дивно, що лікар-рентгенолог не робив опис
дякую. у нас перший раз пневмонія((в 9 років
noavatar
Bransoletka• 19 января в 11:49
22
Ответ дляэнциклопУдия
дякую. у нас перший раз пневмонія((в 9 років
Не легка хвороба, довго лікується, але під контролем лікарів все буде ок. В стаціонар поклали, крапельниці роблять?
anonim_73
автор энциклопУдия • 19 января в 11:51
23
Ответ дляBransoletka
Не легка хвороба, довго лікується, але під контролем лікарів все буде ок. В стаціонар поклали, крапельниці роблять?
так. все капають. дитині одразу полегшало. після антибіотика температура тільки раз піднялась і легко збилась
heart 1
Мнения, изложенные в теме, передают взгляды авторов и не отражают позицию Kidstaff
Тема закрыта

Похожие темы:

Ще з цiкавого


Популярные вопросы!

Сегодня Вчера 7 дней 30 дней

ещё

Сейчас читают!

Назад Комментарии к ответу

О нас | Служба Поддержки | Помощь

Правила | Ограничения | Cookies ©2008—2025 Советчица Kidstaff