Якось так і живу• 23 мая в 11:25
Хелп! Может тут есть стоматолог?
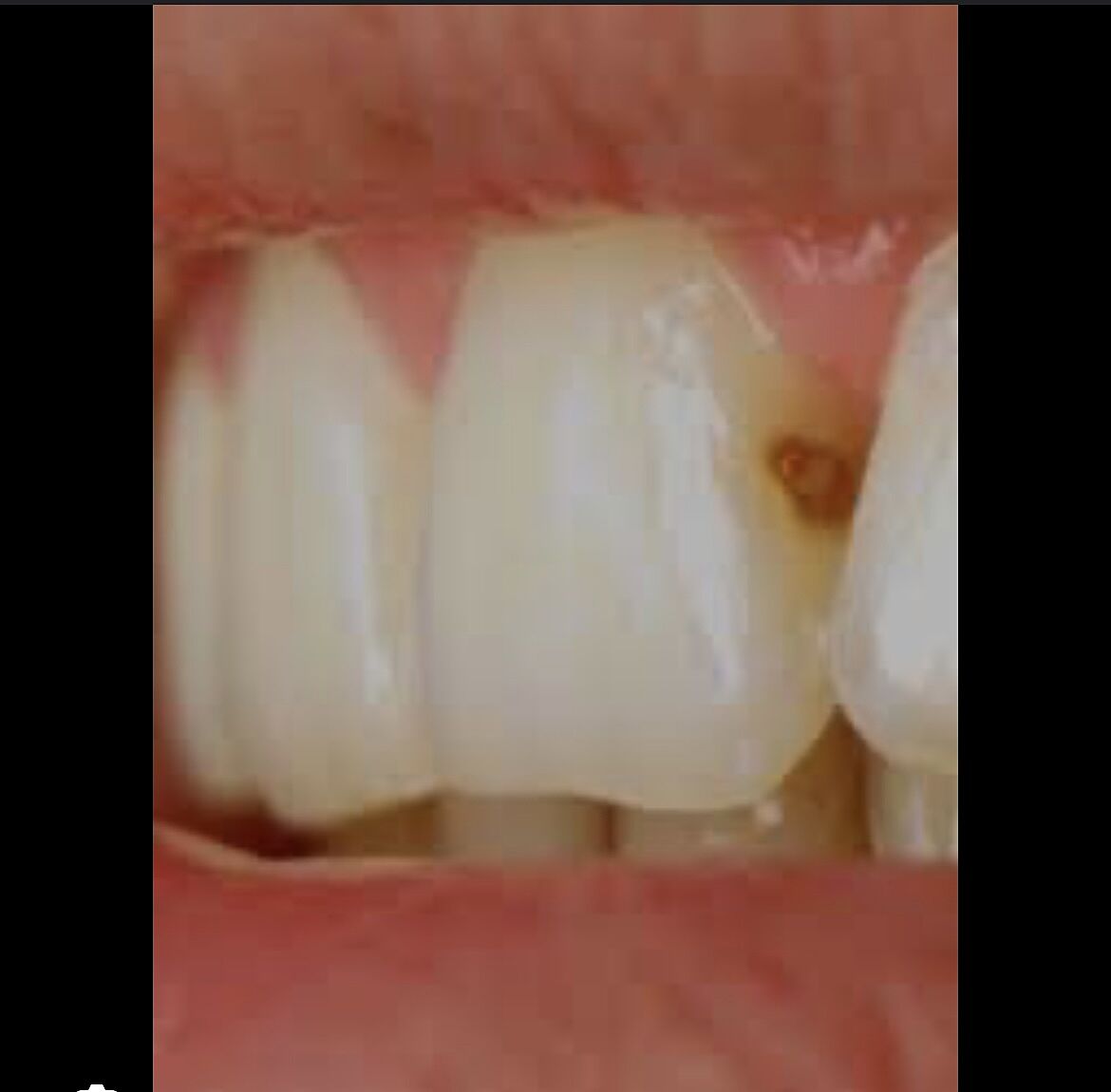
Вот такое только пятнышко чуть меньше между передним зубом(((( это зуб будут разрушать чтобы восстановить теперь?((( сильно опасно если ждать несколько недель?(((
4
Н@Диете• 23 мая в 11:27
Почекаєте ще декілька тижнів - дочекаєтеся, що потрібно буде видаляти нерв
1
автор
Якось так і живу
• 23 мая в 11:37
Ответ дляН@Диете
Почекаєте ще декілька тижнів - дочекаєтеся, що потрібно буде видаляти нерв
Ну оно не такое большое как на фото
Это чисто пример
У меня выходит как разьем между передним зубом и тот что прикасается к нему такое пятнышко как ушко иголки(
Это чисто пример
У меня выходит как разьем между передним зубом и тот что прикасается к нему такое пятнышко как ушко иголки(
ПоЗиТиВнАя• 23 мая в 11:38
так він вже розрушений, цілісність емалі пошкоджена карієсом. Про яке розрушення Ви тут ще заламуєте руки? По факту, то дай Бог, щоб там ВЖЕ не прийшлось видаляти нерв. Це не плямка, там вже процес пішов углиб явно
1
автор
Якось так і живу
• 23 мая в 11:39
Ответ дляПоЗиТиВнАя
так він вже розрушений, цілісність емалі пошкоджена карієсом. Про яке розрушення Ви тут ще заламуєте руки? По факту, то дай Бог, щоб там ВЖЕ не прийшлось видаляти нерв. Це не плямка, там вже процес пішов углиб явно
У меня не такое, а на много меньше между зубами как бы, его только сбоку видно если хорошо посмотреть
ПоЗиТиВнАя• 23 мая в 11:40
Ответ дляЯкось так і живу
У меня не такое, а на много меньше между зубами как бы, его только сбоку видно если хорошо посмотреть
Ви підіть і зробіть знімок. Під ’плямкою’ може повним ходом углиб іти карієс
автор
Якось так і живу
• 23 мая в 11:41
Ответ дляПоЗиТиВнАя
Ви підіть і зробіть знімок. Під ’плямкою’ може повним ходом углиб іти карієс
Капец страшно теперь((( передний зуб все таки 🥲
ПоЗиТиВнАя• 23 мая в 11:41
Ответ дляЯкось так і живу
Капец страшно теперь((( передний зуб все таки 🥲
тому і не зволікайте
Секретница• 23 мая в 11:53
Ответ дляЯкось так і живу
Ну оно не такое большое как на фото
Это чисто пример
У меня выходит как разьем между передним зубом и тот что прикасается к нему такое пятнышко как ушко иголки(
Это чисто пример
У меня выходит как разьем между передним зубом и тот что прикасается к нему такое пятнышко как ушко иголки(
Я пришла к врачу и мне сразу полечили, если есть кариес что ждать что бы больше стал
Секретница• 23 мая в 11:54
Ответ дляЯкось так і живу
Капец страшно теперь((( передний зуб все таки 🥲
А чего страшно полечить 15 мин укол не нужен))
автор
Якось так і живу
• 23 мая в 12:03
Ответ дляСекретница
А чего страшно полечить 15 мин укол не нужен))
Правда в такой ситуации укол не нужен? У вас была схожая ситуация?А то я укола больше всего боюсь, я аллергик
Фісташкова кава• 23 мая в 12:19
Ответ дляЯкось так і живу
Правда в такой ситуации укол не нужен? У вас была схожая ситуация?А то я укола больше всего боюсь, я аллергик
Я не колю обезбалмвающие. Только если нерв удалять
автор
Якось так і живу
• 23 мая в 12:21
Ответ дляФісташкова кава
Я не колю обезбалмвающие. Только если нерв удалять
Ну вот и я так хочу там где кариес сделать все без уколов максимально
Фісташкова кава• 23 мая в 16:23
Ответ дляЯкось так і живу
Ну вот и я так хочу там где кариес сделать все без уколов максимально
Ну и все. Если уже дойдет до нерва, тогда уже попросите обезболивающее. Только предупредите, на что аллергия
Мнения, изложенные в теме, передают взгляды авторов и не отражают позицию Kidstaff
Тема закрыта
Похожие темы:
Назад Комментарии к ответу