sovetchitsa
Советчица
Вход Регистрация
Спросить Советую Промо публикация Поиск товара
Настройки
Язык меню: ru ua Шрифт: a a a
Служба поддержки
Вход Регистрация
Правила | Ограничения | Cookies
©2008—2025 Советчица Kidstaff
Советчица - Здоровье и Красота - Болезни и лекарства
anonim_83
Мадам Подлинник• 29 января в 17:21

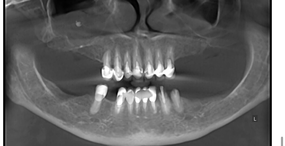
Виривати всі зуби і ставити імпланти? Тут є стоматологи оцінити їх по знімку?

імплант це на довго , так каже стоматолог, а зуби вже в 70 р не дуже, всі в коронках
Ходить і вставними протезами на всі жувальні зуби, які знімаються
attached-photo
attached-photo
attached-photo
attached-photo
woman_facepalming 2
34 0
Все фото темыКомментарии автораМои ответы
  • 1
  • 2
anonim_83
автор Мадам Подлинник • 29 января в 17:22
1
Гляньте плз хто хоч шось розуміє в стоматології
attached-photo
attached-photo
attached-photo
woman_facepalming 2
anonim_190
Найщасливіша• 29 января в 17:24
2
Ще свою кольпоскопію не забудьте викласти, тут є гінекологи
face_with_tears_of_joy 14 like 2 woman_facepalming 2
anonim_26
Брюлик в стразах• 29 января в 17:26
3
А противопоказаний нет к имплантации ?
like 2
anonim_85
Викликаю на дебати• 29 января в 17:26
4
Вообще нет слов!! Обнаглели!
face_with_tears_of_joy 2
noavatar
Алина-1240• 29 января в 17:29
5
Нет конечно.чинить свои.а на нехватающие импланты
like 8
noavatar
Алина-1240• 29 января в 17:29
6
Ответ дляНайщасливіша
Ще свою кольпоскопію не забудьте викласти, тут є гінекологи
К чему это?спросил человек
face_with_tears_of_joy 2
anonim_219
Директор Пляжу• 29 января в 17:30
7
В 70 років приживуться імпланти? Ви суму можете уявити. На знімках канали і корені зубів нормальні, проліковані. Запалень нема. Простіше поміняти старі коронки і поставити незйомні мости на імпланти. По два на одну сторону. Або в такому віці можна дешевий протез, що до ясен прилипає, типу резиновий. Кожні два роки міняти.
like 1
anonim_26
Брюлик в стразах• 29 января в 17:34
8
Мне кажется, вырывать можно только уже безнадёжно утраченные зубы. Все остальное необходимо максимально сохранить.
like 12
anonim_124
ПочтальЁнша• 29 января в 17:36
9
я бы бежала от такого стоматолога
face_with_tears_of_joy 1 like 2
anonim_26
Брюлик в стразах• 29 января в 17:36
10
Я не стоматолог, не могу Вам сказать в каком состоянии Ваши корни по снимкам, но на Ваше количество прекрасно можно поставить бюгельные протезы или частично импланты.
Вырвать всегда успеете.
anonim_124
ПочтальЁнша• 29 января в 17:38
11
Ответ дляБрюлик в стразах
Я не стоматолог, не могу Вам сказать в каком состоянии Ваши корни по снимкам, но на Ваше количество прекрасно можно поставить бюгельные протезы или частично импланты.
Вырвать всегда успеете.
бюгельные трут и часто их сделают, а потом не носят и в таком возрасте нет мотивации терпеть переходной период. но удалять я тоже против
like 1
anonim_78
Меряю от 0• 29 января в 17:42
12
Дівчатка. Якщо хтось з Дніпра, порекомендуйте лікаря. Бо у мами та ж проблема. Майже такі зуби. Бо досвіду свого ще нема. З іншими лікарями все простіше.
anonim_109
Зяблик протестант• 29 января в 17:46
13
В 70 років не імпанти, а ставити систему 4-1. ЦЕ коли всього 4 імпланти на них тримаються протези. Не знімаються.
like 5
noavatar
Gvenna• 29 января в 17:53
14
Зуби як зуби. У мене такі пеньки реставровані. Але ж в 70 можуть ясна бути проблемні, рихлі. У мого батька он зуби самі випадають. Теж займатемось.
anonim_83
автор Мадам Подлинник • 29 января в 18:02
15
Ответ дляДиректор Пляжу
В 70 років приживуться імпланти? Ви суму можете уявити. На знімках канали і корені зубів нормальні, проліковані. Запалень нема. Простіше поміняти старі коронки і поставити незйомні мости на імпланти. По два на одну сторону. Або в такому віці можна дешевий протез, що до ясен прилипає, типу резиновий. Кожні два роки міняти.
250000 одна челюсть
woman_facepalming 1 like 1 crying_face 4
anonim_202
Тётя Хрюша• 29 января в 18:02
16
Ответ дляМеряю от 0
Дівчатка. Якщо хтось з Дніпра, порекомендуйте лікаря. Бо у мами та ж проблема. Майже такі зуби. Бо досвіду свого ще нема. З іншими лікарями все простіше.
Делаю импланты в Мдент (Дафи со стороны АТБ), по рекомендации подруги, она ставила пару лет назад, все хорошо. Цены у них обычные, мой предыдущий стоматолог ставил дороже.
anonim_219
Директор Пляжу• 29 января в 18:04
17
Хоч і на штифтах, але корені нормальні, коронка зуба проглядується. У вас навіть прикус правильний при відсутності бокових зубів зверху і знизу. Відстань між щелепами де пусті місця по боках прям ідеально симетричні і не сильно просіли.
noavatar
Alex_Kri• 29 января в 18:04
18
Есть здесь зубы нормальные. Есть под вопросом. Т.к. этот снимок надо смотреть полноценно , а не скрины с него. Здесь могут быть и срезы неудачные, и не всегда понятно - артефакты это или на самом деле это есть. + замеры делать надо. И это только рентгенологически... Иногда составляются планы с удалением относительно нормальных зубов для экономии средств и снижения травматичности операции...
anonim_85
Викликаю на дебати• 29 января в 18:04
19
Ответ дляМеряю от 0
Дівчатка. Якщо хтось з Дніпра, порекомендуйте лікаря. Бо у мами та ж проблема. Майже такі зуби. Бо досвіду свого ще нема. З іншими лікарями все простіше.
В поликлинике за цирком улица Ломаная 4, 3-й этаж, стоматологический кабинет,спросите или в регистратуре или на этаже у любого врача. Там работает Светлана Александровна Головченко.Лучше к ней подойти, она каждый день с 10-11 на месте ,она сама записывает ,и даст вам свой телефон
Она работает именно с такими проблемами.Ставит коронки,бюгельные протезы и вставные челюсти. Опыт работы лет 35.Цены просто реальные.
anonim_83
автор Мадам Подлинник • 29 января в 18:06
20
Ответ дляЗяблик протестант
В 70 років не імпанти, а ставити систему 4-1. ЦЕ коли всього 4 імпланти на них тримаються протези. Не знімаються.
Оце ж я хочу
Вартість 250000 грн
anonim_219
Директор Пляжу• 29 января в 18:08
21
Ответ дляМадам Подлинник
250000 одна челюсть
Але за рік ви не поставите , мабуть. І антибіотиками можна добряче просадити здоров´я.
А що вам лікарі радять? Чи їм все одно?
like 1
anonim_83
автор Мадам Подлинник • 29 января в 18:10
22
Ответ дляДиректор Пляжу
Але за рік ви не поставите , мабуть. І антибіотиками можна добряче просадити здоров´я.
А що вам лікарі радять? Чи їм все одно?
Антибіотики треба довго питии?
noavatar
Alex_Kri• 29 января в 18:16
23
Ответ дляМадам Подлинник
Антибіотики треба довго питии?
5-7 дней
anonim_78
Меряю от 0• 29 января в 18:19
24
Ответ дляВикликаю на дебати
В поликлинике за цирком улица Ломаная 4, 3-й этаж, стоматологический кабинет,спросите или в регистратуре или на этаже у любого врача. Там работает Светлана Александровна Головченко.Лучше к ней подойти, она каждый день с 10-11 на месте ,она сама записывает ,и даст вам свой телефон
Она работает именно с такими проблемами.Ставит коронки,бюгельные протезы и вставные челюсти. Опыт работы лет 35.Цены просто реальные.
Дякую!
anonim_83
автор Мадам Подлинник • 29 января в 18:19
25
Ответ дляAlex_Kri
Есть здесь зубы нормальные. Есть под вопросом. Т.к. этот снимок надо смотреть полноценно , а не скрины с него. Здесь могут быть и срезы неудачные, и не всегда понятно - артефакты это или на самом деле это есть. + замеры делать надо. И это только рентгенологически... Иногда составляются планы с удалением относительно нормальных зубов для экономии средств и снижения травматичности операции...
Скільки по часу потрібно пити антибіотики коли встановлюєш імпланти? Я просто вперше чую
noavatar
Alex_Kri• 29 января в 18:20
26
Ответ дляМадам Подлинник
Скільки по часу потрібно пити антибіотики коли встановлюєш імпланти? Я просто вперше чую
5-7 дней
anonim_83
автор Мадам Подлинник • 29 января в 18:27
27
Ответ дляAlex_Kri
5-7 дней
А без антибіотиків не можна обійтись? Обовязково мають бути?
woman_facepalming 1
noavatar
Alex_Kri• 29 января в 18:28
28
Ответ дляМадам Подлинник
А без антибіотиків не можна обійтись? Обовязково мають бути?
Теоретически возможно. Но практически без антибиотиков обычно не обходится. Очень высокий риск
anonim_83
автор Мадам Подлинник • 29 января в 18:30
29
Ответ дляAlex_Kri
Теоретически возможно. Но практически без антибиотиков обычно не обходится. Очень высокий риск
Ось таке? Воно знімається чи на кліпсі?
Як здешевити цю всю двіжуху?
attached-photo
anonim_36
ДинамоКит• 29 января в 18:32
30
Ответ дляТётя Хрюша
Делаю импланты в Мдент (Дафи со стороны АТБ), по рекомендации подруги, она ставила пару лет назад, все хорошо. Цены у них обычные, мой предыдущий стоматолог ставил дороже.
Подскажите, какая цена на имплант?
  • 1
  • 2
Мнения, изложенные в теме, передают взгляды авторов и не отражают позицию Kidstaff
Тема закрыта

Похожие темы:

Ще з цiкавого


Популярные вопросы!

Сегодня Вчера 7 дней 30 дней

ещё

Сейчас читают!

Благотворительность!

Назад Комментарии к ответу

О нас | Служба Поддержки | Помощь

Правила | Ограничения | Cookies ©2008—2025 Советчица Kidstaff